Antibody data
- Antibody Data
- Antigen structure
- References [0]
- Comments [0]
- Validations
- Western blot [1]
- Immunocytochemistry [1]
- Immunohistochemistry [1]
Submit
Validation data
Reference
Comment
Report error
- Product number
- AF4764 - Provider product page

- Provider
- R&D Systems
- Product name
- Human ZAG Antibody
- Antibody type
- Polyclonal
- Description
- Antigen Affinity-purified. Detects human ZAG in direct ELISAs and Western blots.
- Reactivity
- Human
- Host
- Goat
- Conjugate
- Unconjugated
- Antigen sequence
Q5XKQ4- Isotype
- IgG
- Vial size
- 100 ug
- Concentration
- LYOPH
- Storage
- Use a manual defrost freezer and avoid repeated freeze-thaw cycles. 12 months from date of receipt, -20 to -70 °C as supplied. 1 month, 2 to 8 °C under sterile conditions after reconstitution. 6 months, -20 to -70 °C under sterile conditions after reconstitution.
No comments: Submit comment
Supportive validation
- Submitted by
- R&D Systems (provider)
- Main image

- Experimental details
- Detection of Human ZAG by Western Blot. Western blot shows lysates of human prostate tissue. PVDF membrane was probed with 1 µg/mL of Goat Anti-Human ZAG Antigen Affinity-purified Polyclonal Antibody (Catalog # AF4764) followed by HRP-conjugated Anti-Goat IgG Secondary Antibody (Catalog # HAF019). A specific band was detected for ZAG at approximately 40 kDa (as indicated). This experiment was conducted under reducing conditions and using Immunoblot Buffer Group 8.
Supportive validation
- Submitted by
- R&D Systems (provider)
- Main image

- Experimental details
- ZAG in Human Mesenchymal Stem Cells. ZAG was detected in immersion fixed human mesenchymal stem cells differentiated into adipocytes using Goat Anti-Human ZAG Antigen Affinity-purified Polyclonal Antibody (Catalog # AF4764) at 10 µg/mL for 3 hours at room temperature. Cells were differentiated using using StemXVivo Osteogenic/Adipogenic Base Media (Catalog # CCM007) and StemXVivo Adipogenic Supplement (100X) (Catalog # CCM011). Cells were stained using the NorthernLights™ 557-conjugated Anti-Goat IgG Secondary Antibody (red; Catalog # NL001) and counterstained with DAPI (blue). Specific staining was localized to cytoplasm. View our protocol for Fluorescent ICC Staining of Stem Cells on Coverslips.
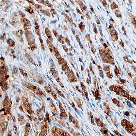
Supportive validation
- Submitted by
- R&D Systems (provider)
- Main image

- Experimental details
- ZAG in Human Breast Cancer Tissue. ZAG was detected in immersion fixed paraffin-embedded sections of human breast cancer tissue using Goat Anti-Human ZAG Antigen Affinity-purified Polyclonal Antibody (Catalog # AF4764) at 10 µg/mL overnight at 4 °C. Before incubation with the primary antibody, tissue was subjected to heat-induced epitope retrieval using Antigen Retrieval Reagent-Basic (Catalog # CTS013). Tissue was stained using the Anti-Goat HRP-DAB Cell & Tissue Staining Kit (brown; Catalog # CTS008) and counterstained with hematoxylin (blue). Specific staining was localized to epithelial cells. View our protocol for Chromogenic IHC Staining of Paraffin-embedded Tissue Sections.