Antibody data
- Antibody Data
- Antigen structure
- References [1]
- Comments [0]
- Validations
- Western blot [1]
- Immunohistochemistry [4]
Submit
Validation data
Reference
Comment
Report error
- Product number
- NB100-2265 - Provider product page

- Provider
- Novus Biologicals
- Proper citation
- Novus Cat#NB100-2265, RRID:AB_2304025
- Product name
- Rabbit Polyclonal UbcH7/UBE2L3 Antibody
- Antibody type
- Polyclonal
- Description
- Immunogen affinity purified.
- Reactivity
- Human, Mouse
- Host
- Rabbit
- Isotype
- IgG
- Vial size
- 100 uL
- Concentration
- 1.0 mg/ml
- Storage
- Store at 4C. Do not freeze.
Submitted references Regulatory cross-talk determines the cellular levels of 53BP1 protein, a critical factor in DNA repair.
Mayca Pozo F, Tang J, Bonk KW, Keri RA, Yao X, Zhang Y
The Journal of biological chemistry 2017 Apr 7;292(14):5992-6003
The Journal of biological chemistry 2017 Apr 7;292(14):5992-6003
No comments: Submit comment
Supportive validation
- Submitted by
- Novus Biologicals (provider)
- Main image

- Experimental details
- Western Blot: UbcH7/UBE2L3 Antibody [NB100-2265] - Detection of Human and Mouse UBCH7 one HeLa whole cell lysate using NB100-2265.
Supportive validation
- Submitted by
- Novus Biologicals (provider)
- Main image

- Experimental details
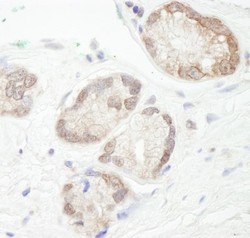
- Immunohistochemistry-Paraffin: UbcH7/UBE2L3 Antibody [NB100-2265] - Human breast tumors stained with UbcH7 antibody. Image from verified customer review.
- Submitted by
- Novus Biologicals (provider)
- Main image

- Experimental details
- Immunohistochemistry-Paraffin: UbcH7/UBE2L3 Antibody [NB100-2265] - FFPE section of human basal cell carcinoma. Antibody used at a dilution of 1:100.
- Submitted by
- Novus Biologicals (provider)
- Main image

- Experimental details
- Immunohistochemistry-Paraffin: UbcH7/UBE2L3 Antibody [NB100-2265] - FFPE section of human cervix. A used at a dilution of 1:500.
- Submitted by
- Novus Biologicals (provider)
- Main image

- Experimental details
- Immunohistochemistry: UbcH7/UBE2L3 Antibody [NB100-2265] - Sample: FFPE section of human prostate carcinoma. Antibody: Affinity purified rabbit anti- UBCH7 used at a dilution of 1:1,000 (1ug/ml). Detection: DAB