Antibody data
- Antibody Data
- Antigen structure
- References [0]
- Comments [0]
- Validations
- Western blot [1]
- Immunohistochemistry [3]
Submit
Validation data
Reference
Comment
Report error
- Product number
- LS-C98731 - Provider product page

- Provider
- LSBio
- Proper citation
- LifeSpan Cat#LS-C98731, RRID:AB_2093793
- Product name
- DYRK / DYRK1A Antibody (aa107-136) LS-C98731
- Antibody type
- Polyclonal
- Description
- Ammonium sulfate precipitation
- Reactivity
- Human, Mouse
- Host
- Rabbit
- Storage
- Maintain refrigerated at 2°C to 8°C for up to 6 months. For long term storage store at -20°C.
No comments: Submit comment
Enhanced validation
- Submitted by
- LSBio (provider)
- Enhanced method
- Genetic validation
- Main image

- Experimental details
- Western blot of DYRK1A Antibody in 293 cell line lysates (35 ug/lane). DYRK1A (arrow) was detected using the purified antibody.
Enhanced validation
- Submitted by
- LSBio (provider)
- Enhanced method
- Genetic validation
- Main image

- Experimental details
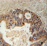
- DYRK1A Antibody immunohistochemistry of formalin-fixed and paraffin-embedded human prostate carcinoma followed by peroxidase-conjugated secondary antibody and DAB staining.
- Submitted by
- LSBio (provider)
- Enhanced method
- Genetic validation
- Main image

- Experimental details
- DYRK1A Antibody immunohistochemistry of formalin-fixed and paraffin-embedded human prostate carcinoma followed by peroxidase-conjugated secondary antibody and DAB staining.
- Submitted by
- LSBio (provider)
- Main image

- Experimental details
- DYRK1A Antibody immunohistochemistry of formalin-fixed and paraffin-embedded human prostate carcinoma followed by peroxidase-conjugated secondary antibody and DAB staining.