Antibody data
- Antibody Data
- Antigen structure
- References [0]
- Comments [0]
- Validations
- Immunohistochemistry [4]
Submit
Validation data
Reference
Comment
Report error
- Product number
- PA5-110799 - Provider product page

- Provider
- Invitrogen Antibodies
- Product name
- DYRK1A Polyclonal Antibody
- Antibody type
- Polyclonal
- Antigen
- Recombinant protein fragment
- Description
- Immunogen sequence: VRQQFPAPLG WSGTEAPTQV TVETHPVQET TFHVAPQQNA LHHHHGNSSH HHHHHHHHHH HHGQQALGNR TRPRVYNSPT NSSSTQDSME VGHSHHSMTS LSSSTTSSST SSSSTG
- Reactivity
- Human
- Host
- Rabbit
- Isotype
- IgG
- Vial size
- 100 μL
- Concentration
- 0.10 mg/mL
- Storage
- Store at 4°C short term. For long term storage, store at -20°C, avoiding freeze/thaw cycles.
No comments: Submit comment
Supportive validation
- Submitted by
- Invitrogen Antibodies (provider)
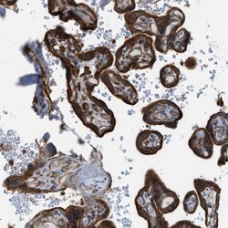
- Main image

- Experimental details
- Immunohistochemical analysis of DYRK1A in human placenta using DYRK1A Polyclonal Antibody (Product # PA5-110799) shows moderate to strong cytoplasmic positivity in trophoblastic cells.
- Submitted by
- Invitrogen Antibodies (provider)
- Main image

- Experimental details
- Immunohistochemical analysis of DYRK1A in human liver using DYRK1A Polyclonal Antibody (Product # PA5-110799) shows no positivity in hepatocytes as expected.
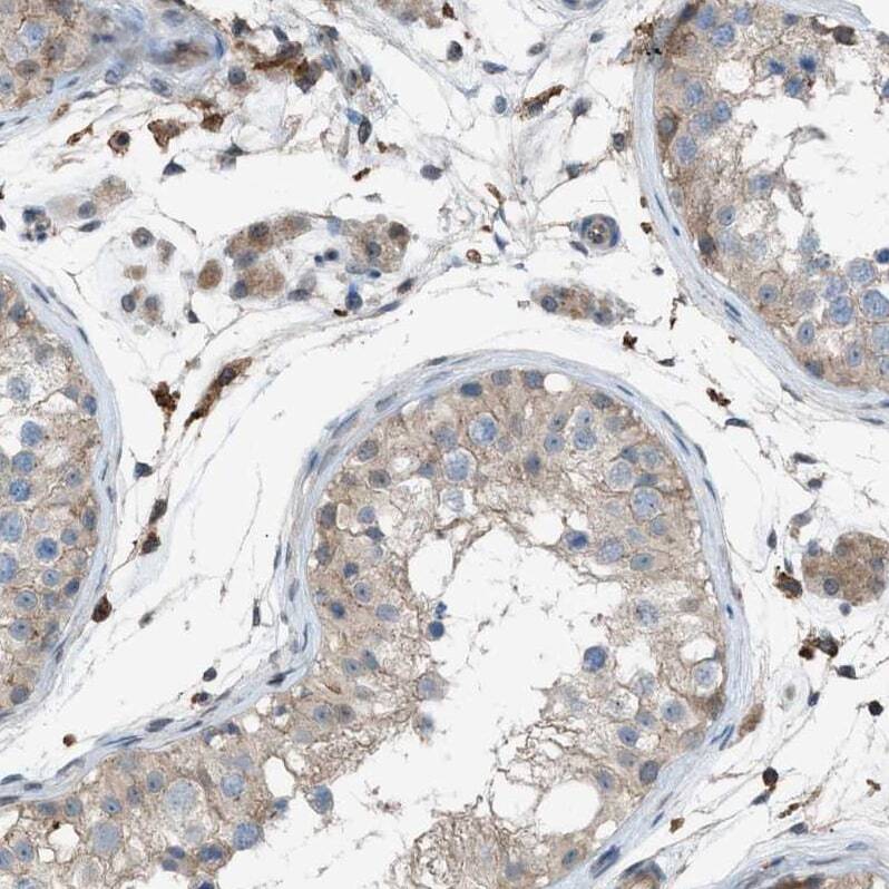
- Submitted by
- Invitrogen Antibodies (provider)
- Main image

- Experimental details
- Immunohistochemical analysis of DYRK1A in human testis using DYRK1A Polyclonal Antibody (Product # PA5-110799) shows weak to moderate cytoplasmic positivity in cells in seminiferous ducts.
- Submitted by
- Invitrogen Antibodies (provider)
- Main image

- Experimental details
- Immunohistochemical analysis of DYRK1A in human endometrium using DYRK1A Polyclonal Antibody (Product # PA5-110799) shows weak to moderate cytoplasmic positivity in glandular cells.