Antibody data
- Antibody Data
- Antigen structure
- References [0]
- Comments [0]
- Validations
- Immunohistochemistry [1]
- Other assay [1]
Submit
Validation data
Reference
Comment
Report error
- Product number
- V2263 - Provider product page

- Provider
- NSJ Bioreagents
- Product name
- Thyroglobulin Antibody
- Antibody type
- Monoclonal
- Description
- This highly specific Thyroglobulin antibody is suitable for use in ELISA/Immunohistochemistry applications with human, mouse and rat samples.
- Reactivity
- Human, Mouse, Rat
- Host
- Mouse
- Conjugate
- Unconjugated
- Antibody clone number
- 6E1.
- Vial size
- 20 ug (with BSA and sodium azide), 100 ug (with BSA and sodium azide), 100 ug (without BSA or sodium azide), 7 ml IHC only format (if applicable)
- Concentration
- 0.2 mg/ml, 1 mg/ml
- Storage
- Store the Thyroglobulin antibody at 2-8oC (with azide) or aliquot and store at -20oC or colder (without azide).
No comments: Submit comment
Supportive validation
- Submitted by
- NSJ Bioreagents (provider)
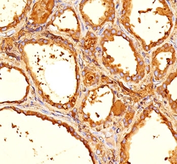
- Main image

- Experimental details
- IHC staining of human thyroid tissue with Thyroglobulin antibody (6E1, aka clone TGB05).
Supportive validation
- Submitted by
- NSJ Bioreagents (provider)
- Main image

- Experimental details
- SDS-PAGE Analysis of Purified, BSA-Free Thyroglobulin Antibody (clone 6E1 or TGB05). Confirmation of Integrity and Purity of the Antibody.