Antibody data
- Antibody Data
- Antigen structure
- References [0]
- Comments [0]
- Validations
- Western blot [1]
- Immunohistochemistry [1]
Submit
Validation data
Reference
Comment
Report error
- Product number
- NBP1-94203 - Provider product page

- Provider
- Novus Biologicals
- Proper citation
- Novus Cat#NBP1-94203, RRID:AB_11007334
- Product name
- Rabbit Polyclonal Factor XII Antibody
- Antibody type
- Polyclonal
- Description
- Unpurified.
- Reactivity
- Human, Mouse, Rat, Simian
- Host
- Rabbit
- Isotype
- IgG
- Vial size
- 0.1 ml
- Storage
- Store at 4C short term. Aliquot and store at -20C long term. Avoid freeze-thaw cycles.
No comments: Submit comment
Supportive validation
- Submitted by
- Novus Biologicals (provider)
- Main image

- Experimental details
- Western Blot: Factor XII/F12 Antibody [NBP1-94203] - WB analysis of F12 in 1. NIH 3T3 cell lysate and 2. Cos7 cell lysate.
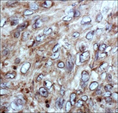
Supportive validation
- Submitted by
- Novus Biologicals (provider)
- Main image

- Experimental details
- Immunohistochemistry: Factor XII Antibody [NBP1-94203] - IHC analysis of F12 in human renal cancer using DAB with hematoxylin counterstain.