Antibody data
- Antibody Data
- Antigen structure
- References [0]
- Comments [0]
- Validations
- Western blot [1]
- Immunohistochemistry [3]
Submit
Validation data
Reference
Comment
Report error
- Product number
- LS-C100902 - Provider product page 
- Provider
- LSBio
- Proper citation
- LifeSpan Cat#LS-C100902, RRID:AB_2254531
- Product name
- SERPINF1 / PEDF Antibody (aa279-306) LS-C100902
- Antibody type
- Polyclonal
- Description
- Ammonium sulfate precipitation
- Reactivity
- Human
- Host
- Rabbit
- Storage
- Maintain refrigerated at 2°C to 8°C for up to 6 months. For long term storage store at -20°C.
				No comments: Submit comment	
	
			
							
					Enhanced validation
					
									
				
				- Submitted by
- LSBio (provider)
- Enhanced method
- Genetic validation
- Main image
 
- Experimental details
- SERPINF1 Antibody western blot of human blood plasma tissue lysates (35 ug/lane). The SERPINF1 antibody detected the SERPINF1 protein (arrow).
							
					Enhanced validation
					
									
				
		- Submitted by
- LSBio (provider)
- Enhanced method
- Genetic validation
- Main image
 
- Experimental details
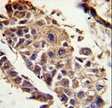
- Formalin-fixed and paraffin-embedded human hepatocarcinoma reacted with SERPINF1 Antibody , which was peroxidase-conjugated to the secondary antibody, followed by DAB staining. This data demonstrates the use of this antibody for immunohistochemistry; clinical relevance has not been evaluated.
- Submitted by
- LSBio (provider)
- Enhanced method
- Genetic validation
- Main image
 
- Experimental details
- Formalin-fixed and paraffin-embedded human hepatocarcinoma reacted with SERPINF1 Antibody , which was peroxidase-conjugated to the secondary antibody, followed by DAB staining. This data demonstrates the use of this antibody for immunohistochemistry; clinical relevance has not been evaluated.
- Submitted by
- LSBio (provider)
- Main image
 
- Experimental details
- Formalin-fixed and paraffin-embedded human hepatocarcinoma reacted with SERPINF1 Antibody , which was peroxidase-conjugated to the secondary antibody, followed by DAB staining. This data demonstrates the use of this antibody for immunohistochemistry; clinical relevance has not been evaluated.