Antibody data
- Antibody Data
- Antigen structure
- References [0]
- Comments [0]
- Validations
- Western blot [2]
- Immunohistochemistry [4]
Submit
Validation data
Reference
Comment
Report error
- Product number
- RQ4587 - Provider product page

- Provider
- NSJ Bioreagents
- Product name
- LUM Antibody / Lumican
- Antibody type
- Polyclonal
- Description
- This highly specific LUM antibody is suitable for use in Western blot/Immunohistochemistry/Direct ELISA applications with human, mouse and rat samples.
- Reactivity
- Human, Mouse, Rat
- Host
- Rabbit
- Conjugate
- Unconjugated
- Vial size
- 100 ug
- Concentration
- 0.5mg/ml if reconstituted with 0.2ml sterile DI water
- Storage
- After reconstitution, the LUM antibody can be stored for up to one month at 4oC. For long-term, aliquot and store at -20oC. Avoid repeated freezing and thawing.
No comments: Submit comment
Supportive validation
- Submitted by
- NSJ Bioreagents (provider)
- Main image

- Experimental details
- Western blot testing of human 1) placenta, 2) Caco-2, 3) CCRF-CEM, 4) HeLa and 5) Jurkat lysate with LUM antibody at 0.5ug/ml. Expected moleculer weight: ~40 kDa (unmodified), ~60 kDa (glycosylated).
- Submitted by
- NSJ Bioreagents (provider)
- Main image

- Experimental details
- Western blot testing of mouse 1) liver, 2) ovary, 3) testis, 4) lung and rat 5) liver, 6) ovary, 7) testis, 8) lung and 9) heart lysate with LUM antibody at 0.5ug/ml. Expected moleculer weight: ~40 kDa (unmodified), ~60 kDa (glycosylated).
Supportive validation
- Submitted by
- NSJ Bioreagents (provider)
- Main image

- Experimental details
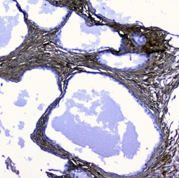
- IHC staining of FFPE human placenta with LUM antibody at 1ug/ml. HIER: boil tissue sections in pH6, 10mM citrate buffer, for 10-20 min followed by cooling at RT for 20 min.
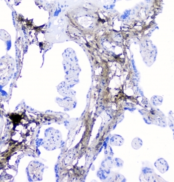
- Submitted by
- NSJ Bioreagents (provider)
- Main image

- Experimental details
- IHC staining of FFPE human ovarian cancer with LUM antibody at 1ug/ml. HIER: boil tissue sections in pH6, 10mM citrate buffer, for 10-20 min followed by cooling at RT for 20 min.
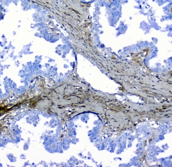
- Submitted by
- NSJ Bioreagents (provider)
- Main image

- Experimental details
- IHC staining of FFPE human pancreatic cancer with LUM antibody at 1ug/ml. HIER: boil tissue sections in pH6, 10mM citrate buffer, for 10-20 min followed by cooling at RT for 20 min.
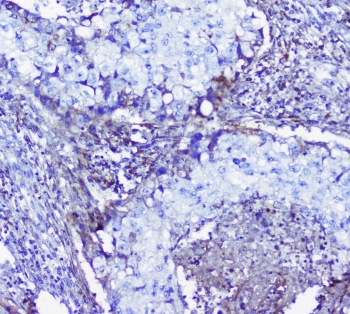
- Submitted by
- NSJ Bioreagents (provider)
- Main image

- Experimental details
- IHC staining of FFPE human lung cancer with LUM antibody at 1ug/ml. HIER: boil tissue sections in pH6, 10mM citrate buffer, for 10-20 min followed by cooling at RT for 20 min.