Antibody data
- Antibody Data
- Antigen structure
- References [0]
- Comments [0]
- Validations
- Western blot [1]
- Immunohistochemistry [1]
Submit
Validation data
Reference
Comment
Report error
- Product number
- AM03128PU-N - Provider product page

- Provider
- OriGene
- Product name
- Hsp60 (HSPD1) (1-573) mouse monoclonal antibody, clone 2E4, Purified
- Antibody type
- Monoclonal
- Description
- Hsp60 (HSPD1) (1-573) mouse monoclonal antibody, clone 2E4, Purified
- Host
- Mouse
- Conjugate
- Unconjugated
- Epitope
- HSPD1
- Isotype
- IgG
- Antibody clone number
- 2E4
- Vial size
- 100 µl
- Concentration
- 1.0 mg/ml
No comments: Submit comment
Supportive validation
- Submitted by
- OriGene (provider)
- Main image

- Experimental details
- Western blot analysis : Cell lysates of Hela (30 ug) were resolved by SDS-PAGE, transferred to NC membrane and probed with anti-human HSP60 No. (1/1000). Proteins were visualized using a goat anti-mouse secondary antibody conjugated to HRP and an ECL detection system.
- Validation comment
- WB
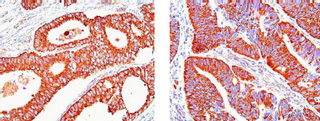
Supportive validation
- Submitted by
- OriGene (provider)
- Main image

- Experimental details
- Immunohistochemistry : Paraffin embedded sections of human colon cancer tissue were incubated with anti-human Hsp60No. (1/50) for 2 hours at room temperature. Antigen retrieval was performed in 0.1M sodium citrate buffer and detected using Diaminobenzidine (DAB).
- Validation comment
- IHC