Antibody data
- Antibody Data
 - Antigen structure
 - References [2]
 - Comments [0]
 - Validations
 - Western blot [2]
 - Immunohistochemistry [9]
 
Submit
Validation data
Reference
Comment
Report error
- Product number
 - NBP1-90302 - Provider product page

 - Provider
 - Novus Biologicals
 - Proper citation
 - Novus Cat#NBP1-90302, RRID:AB_11056056
 - Product name
 - Rabbit Polyclonal Fetuin A/AHSG Antibody
 - Antibody type
 - Polyclonal
 - Description
 - Immunogen affinity purified. Specificity of human, porcine Fetuin A/AHSG antibody verified on a Protein Array containing target protein plus 383 other non-specific proteins.
 - Reactivity
 - Human, Porcine
 - Host
 - Rabbit
 - Isotype
 - IgG
 - Vial size
 - 0.1 ml
 - Storage
 - Store at 4C short term. Aliquot and store at -20C long term. Avoid freeze-thaw cycles.
 
Submitted references		HSP70, Peroxiredoxin-3 and -6 are upregulated during renal warm ischaemia in a donation after circulatory death model.
				
Global proteomic profiling reveals altered proteomic signature in schizophrenia serum.
				
		
	
			Hossain MA, De Souza AI, Bagul A, MacPhee IA, Kessaris N, Morsy MA
Journal of proteomics 2014 Aug 28;108:133-45
		Journal of proteomics 2014 Aug 28;108:133-45
Global proteomic profiling reveals altered proteomic signature in schizophrenia serum.
			Levin Y, Wang L, Schwarz E, Koethe D, Leweke FM, Bahn S
Molecular psychiatry 2010 Nov;15(11):1088-100
		Molecular psychiatry 2010 Nov;15(11):1088-100
				No comments: Submit comment	
	
			
							
					Supportive validation
					
									
				
				- Submitted by
 - Novus Biologicals (provider)
 - Main image
 
- Experimental details
 - Western Blot: Fetuin A/AHSG Antibody [NBP1-90302] - Analysis in control (vector only transfected HEK293T lysate) and AHSG over-expression lysate (Co-expressed with a C-terminal myc-DDK tag (3.1 kDa) in mammalian HEK293T cells).
 
- Submitted by
 - Novus Biologicals (provider)
 - Main image
 
- Experimental details
 - Western Blot: Fetuin A/AHSG Antibody [NBP1-90302] - Analysis in Caco-2 cells transfected with control siRNA, target specific siRNA probe #1 and #2,. Remaining relative intensity is presented. Loading control: Anti-GAPDH.
 
							
					Supportive validation
					
									
				
		- Submitted by
 - Novus Biologicals (provider)
 - Main image
 
- Experimental details
 - Immunohistochemistry-Paraffin: Fetuin A/AHSG Antibody [NBP1-90302] - Staining of human bone marrow, cerebral cortex, liver and lymph node using Anti-AHSG antibody NBP1-90302 (A) shows similar protein distribution across tissues to independent antibody NBP1-90303 (B).
 
- Submitted by
 - Novus Biologicals (provider)
 - Main image
 
- Experimental details
 - Immunohistochemistry-Paraffin: Fetuin A/AHSG Antibody [NBP1-90302] - Staining of human cerebral cortex.
 
- Submitted by
 - Novus Biologicals (provider)
 - Main image
 
- Experimental details
 - Immunohistochemistry-Paraffin: Fetuin A/AHSG Antibody [NBP1-90302] - Staining of human kidney shows moderate extra-cellular positivity and moderate cytoplasmic positivity in cells in tubules.
 
- Submitted by
 - Novus Biologicals (provider)
 - Main image
 
- Experimental details
 - Immunohistochemistry-Paraffin: Fetuin A/AHSG Antibody [NBP1-90302] - Staining of human liver.
 
- Submitted by
 - Novus Biologicals (provider)
 - Main image
 
- Experimental details
 - Immunohistochemistry-Paraffin: Fetuin A/AHSG Antibody [NBP1-90302] - Staining of human lymph node.
 
- Submitted by
 - Novus Biologicals (provider)
 - Main image
 
- Experimental details
 - Immunohistochemistry-Paraffin: Fetuin A/AHSG Antibody [NBP1-90302] - Staining of human bone marrow.
 
- Submitted by
 - Novus Biologicals (provider)
 - Main image
 
- Experimental details
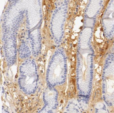
 - Immunohistochemistry-Paraffin: Fetuin A/AHSG Antibody [NBP1-90302] - Staining of human stomach shows moderate positivity in extracellular matrix.
 
- Submitted by
 - Novus Biologicals (provider)
 - Main image
 
- Experimental details
 - Immunohistochemistry-Paraffin: Fetuin A/AHSG Antibody [NBP1-90302] - Staining of human skeletal muscle shows no cytoplasmic positivity in myocytes as expected
 
- Submitted by
 - Novus Biologicals (provider)
 - Main image
 
- Experimental details
 - Immunohistochemistry-Paraffin: Fetuin A/AHSG Antibody [NBP1-90302] - Staining of human cerebellum shows moderate cytoplasmic positivity in a subset of Purkinje cells.