Antibody data
- Antibody Data
- Antigen structure
- References [1]
- Comments [0]
- Validations
- Immunohistochemistry [4]
Submit
Validation data
Reference
Comment
Report error
- Product number
- NBP1-85077 - Provider product page

- Provider
- Novus Biologicals
- Proper citation
- Novus Cat#NBP1-85077, RRID:AB_11030954
- Product name
- Rabbit Polyclonal RBM48 Antibody
- Antibody type
- Polyclonal
- Description
- Immunogen affinity purified. Specificity of human C7orf64 antibody verified on a Protein Array containing target protein plus 383 other non-specific proteins.
- Reactivity
- Human
- Host
- Rabbit
- Isotype
- IgG
- Vial size
- 0.1 ml
- Storage
- Store at 4C short term. Aliquot and store at -20C long term. Avoid freeze-thaw cycles.
Submitted references Immunofluorescence and fluorescent-protein tagging show high correlation for protein localization in mammalian cells.
Stadler C, Rexhepaj E, Singan VR, Murphy RF, Pepperkok R, Uhlén M, Simpson JC, Lundberg E
Nature methods 2013 Apr;10(4):315-23
Nature methods 2013 Apr;10(4):315-23
No comments: Submit comment
Supportive validation
- Submitted by
- Novus Biologicals (provider)
- Main image

- Experimental details
- Immunohistochemistry-Paraffin: C7orf64 Antibody [NBP1-85077] - Staining of human kidney shows moderate to strong cytoplasmic positivity in cells in distal tubules.
- Submitted by
- Novus Biologicals (provider)
- Main image

- Experimental details
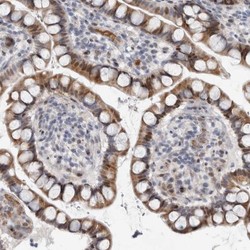
- Immunohistochemistry-Paraffin: C7orf64 Antibody [NBP1-85077] - Staining of human small intestine shows moderate cytoplasmic positivity in glandular cells.
- Submitted by
- Novus Biologicals (provider)
- Main image

- Experimental details
- Immunohistochemistry-Paraffin: C7orf64 Antibody [NBP1-85077] - Staining of human testis shows moderate to strong cytoplasmic positivity in Leydig cells.
- Submitted by
- Novus Biologicals (provider)
- Main image

- Experimental details
- Immunohistochemistry-Paraffin: C7orf64 Antibody [NBP1-85077] - Staining of human cerebral cortex shows moderate to strong cytoplasmic positivity in neurons.