Antibody data
- Antibody Data
- Antigen structure
- References [1]
- Comments [0]
- Validations
- Western blot [1]
- Immunohistochemistry [1]
Submit
Validation data
Reference
Comment
Report error
- Product number
- NBP1-88028 - Provider product page

- Provider
- Novus Biologicals
- Proper citation
- Novus Cat#NBP1-88028, RRID:AB_11031546
- Product name
- Rabbit Polyclonal Vitamin D BP Antibody
- Antibody type
- Polyclonal
- Description
- Immunogen affinity purified. Specificity of human Vitamin D BP antibody verified on a Protein Array containing target protein plus 383 other non-specific proteins.
- Reactivity
- Human
- Host
- Rabbit
- Isotype
- IgG
- Vial size
- 0.1 ml
- Storage
- Store at 4C short term. Aliquot and store at -20C long term. Avoid freeze-thaw cycles.
Submitted references Gene expression profiling reveals GC and CEACAM1 as new tools in the diagnosis of lung carcinoids.
Toffalorio F, Belloni E, Barberis M, Bucci G, Tizzoni L, Pruneri G, Fumagalli C, Spitaleri G, Catania C, Melotti F, Pelicci PG, Spaggiari L, De Pas T
British journal of cancer 2014 Mar 4;110(5):1244-9
British journal of cancer 2014 Mar 4;110(5):1244-9
No comments: Submit comment
Supportive validation
- Submitted by
- Novus Biologicals (provider)
- Main image

- Experimental details
- Western Blot: Vitamin D BP Antibody [NBP1-88028] - Analysis using Anti-GC antibody NBP1-88028 (A) shows similar pattern to independent antibody NBP1-88027 (B).
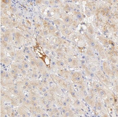
Supportive validation
- Submitted by
- Novus Biologicals (provider)
- Main image

- Experimental details
- Immunohistochemistry-Paraffin: Vitamin D BP Antibody [NBP1-88028] - Staining of human liver shows cytoplasmic positivity in hepatocytes.