Antibody data
- Antibody Data
- Antigen structure
- References [15]
- Comments [0]
- Validations
- Western blot [1]
- Immunohistochemistry [1]
Submit
Validation data
Reference
Comment
Report error
- Product number
- AF942 - Provider product page

- Provider
- Novus Biologicals
- Product name
- Goat Polyclonal SPARC Antibody
- Antibody type
- Polyclonal
- Description
- Antigen Affinity-purified. Detects mouse SPARC in direct ELISAs and Western blots. In direct ELISAs and Western blots, less than 1% cross-reactivity with recombinant human SPARC is observed.
- Reactivity
- Mouse
- Host
- Goat
- Conjugate
- Unconjugated
- Isotype
- IgG
- Vial size
- 100 ug
- Concentration
- LYOPH
- Storage
- Use a manual defrost freezer and avoid repeated freeze-thaw cycles. 12 months from date of receipt, -20 to -70 degreesC as supplied. 1 month, 2 to 8 degreesC under sterile conditions after reconstitution. 6 months, -20 to -70 degreesC under sterile conditions after reconstitution.
Submitted references Extracellular SPARC increases cardiomyocyte contraction during health and disease.
SPARC dependent collagen deposition and gemcitabine delivery in a genetically engineered mouse model of pancreas cancer.
Cyp1b1 expression impacts the angiogenic and inflammatory properties of liver sinusoidal endothelial cells.
SPARC and GluA1-Containing AMPA Receptors Promote Neuronal Health Following CNS Injury.
Molecular and Functional Properties of Regional Astrocytes in the Adult Brain.
Stabilin-1 is expressed in human breast cancer and supports tumor growth in mammary adenocarcinoma mouse model.
Proteolytic Isoforms of SPARC Induce Adipose Stromal Cell Mobilization in Obesity.
CSF1-ETS2-induced microRNA in myeloid cells promote metastatic tumor growth.
Stromal niche communalities underscore the contribution of the matricellular protein SPARC to B-cell development and lymphoid malignancies.
Losartan slows pancreatic tumor progression and extends survival of SPARC-null mice by abrogating aberrant TGFβ activation.
Astrocytes control glutamate receptor levels at developing synapses through SPARC-beta-integrin interactions.
Absence of SPARC results in increased cardiac rupture and dysfunction after acute myocardial infarction.
A conserved organization of transcription during embryonic stem cell differentiation and in cells with high C value.
Loss of SPARC-mediated VEGFR-1 suppression after injury reveals a novel antiangiogenic activity of VEGF-A.
Functional analysis of the matricellular protein SPARC with novel monoclonal antibodies.
Deckx S, Johnson DM, Rienks M, Carai P, Van Deel E, Van der Velden J, Sipido KR, Heymans S, Papageorgiou AP
PloS one 2019;14(4):e0209534
PloS one 2019;14(4):e0209534
SPARC dependent collagen deposition and gemcitabine delivery in a genetically engineered mouse model of pancreas cancer.
Ramu I, Buchholz SM, Patzak MS, Goetze RG, Singh SK, Richards FM, Jodrell DI, Sipos B, Ströbel P, Ellenrieder V, Hessmann E, Neesse A
EBioMedicine 2019 Oct;48:161-168
EBioMedicine 2019 Oct;48:161-168
Cyp1b1 expression impacts the angiogenic and inflammatory properties of liver sinusoidal endothelial cells.
Falero-Perez J, Song YS, Zhao Y, Teixeira L, Sorenson CM, Sheibani N
PloS one 2018;13(10):e0206756
PloS one 2018;13(10):e0206756
SPARC and GluA1-Containing AMPA Receptors Promote Neuronal Health Following CNS Injury.
Jones EV, Bernardinelli Y, Zarruk JG, Chierzi S, Murai KK
Frontiers in cellular neuroscience 2018;12:22
Frontiers in cellular neuroscience 2018;12:22
Molecular and Functional Properties of Regional Astrocytes in the Adult Brain.
Morel L, Chiang MSR, Higashimori H, Shoneye T, Iyer LK, Yelick J, Tai A, Yang Y
The Journal of neuroscience : the official journal of the Society for Neuroscience 2017 Sep 6;37(36):8706-8717
The Journal of neuroscience : the official journal of the Society for Neuroscience 2017 Sep 6;37(36):8706-8717
Stabilin-1 is expressed in human breast cancer and supports tumor growth in mammary adenocarcinoma mouse model.
Riabov V, Yin S, Song B, Avdic A, Schledzewski K, Ovsiy I, Gratchev A, Llopis Verdiell M, Sticht C, Schmuttermaier C, Schönhaber H, Weiss C, Fields AP, Simon-Keller K, Pfister F, Berlit S, Marx A, Arnold B, Goerdt S, Kzhyshkowska J
Oncotarget 2016 May 24;7(21):31097-110
Oncotarget 2016 May 24;7(21):31097-110
Proteolytic Isoforms of SPARC Induce Adipose Stromal Cell Mobilization in Obesity.
Tseng C, Kolonin MG
Stem cells (Dayton, Ohio) 2016 Jan;34(1):174-90
Stem cells (Dayton, Ohio) 2016 Jan;34(1):174-90
CSF1-ETS2-induced microRNA in myeloid cells promote metastatic tumor growth.
Mathsyaraja H, Thies K, Taffany DA, Deighan C, Liu T, Yu L, Fernandez SA, Shapiro C, Otero J, Timmers C, Lustberg MB, Chalmers J, Leone G, Ostrowski MC
Oncogene 2015 Jul;34(28):3651-61
Oncogene 2015 Jul;34(28):3651-61
Stromal niche communalities underscore the contribution of the matricellular protein SPARC to B-cell development and lymphoid malignancies.
Sangaletti S, Tripodo C, Portararo P, Dugo M, Vitali C, Botti L, Guarnotta C, Cappetti B, Gulino A, Torselli I, Casalini P, Chiodoni C, Colombo MP
Oncoimmunology 2014;3:e28989
Oncoimmunology 2014;3:e28989
Losartan slows pancreatic tumor progression and extends survival of SPARC-null mice by abrogating aberrant TGFβ activation.
Arnold SA, Rivera LB, Carbon JG, Toombs JE, Chang CL, Bradshaw AD, Brekken RA
PloS one 2012;7(2):e31384
PloS one 2012;7(2):e31384
Astrocytes control glutamate receptor levels at developing synapses through SPARC-beta-integrin interactions.
Jones EV, Bernardinelli Y, Tse YC, Chierzi S, Wong TP, Murai KK
The Journal of neuroscience : the official journal of the Society for Neuroscience 2011 Mar 16;31(11):4154-65
The Journal of neuroscience : the official journal of the Society for Neuroscience 2011 Mar 16;31(11):4154-65
Absence of SPARC results in increased cardiac rupture and dysfunction after acute myocardial infarction.
Schellings MW, Vanhoutte D, Swinnen M, Cleutjens JP, Debets J, van Leeuwen RE, d'Hooge J, Van de Werf F, Carmeliet P, Pinto YM, Sage EH, Heymans S
The Journal of experimental medicine 2009 Jan 16;206(1):113-23
The Journal of experimental medicine 2009 Jan 16;206(1):113-23
A conserved organization of transcription during embryonic stem cell differentiation and in cells with high C value.
Faro-Trindade I, Cook PR
Molecular biology of the cell 2006 Jul;17(7):2910-20
Molecular biology of the cell 2006 Jul;17(7):2910-20
Loss of SPARC-mediated VEGFR-1 suppression after injury reveals a novel antiangiogenic activity of VEGF-A.
Nozaki M, Sakurai E, Raisler BJ, Baffi JZ, Witta J, Ogura Y, Brekken RA, Sage EH, Ambati BK, Ambati J
The Journal of clinical investigation 2006 Feb;116(2):422-9
The Journal of clinical investigation 2006 Feb;116(2):422-9
Functional analysis of the matricellular protein SPARC with novel monoclonal antibodies.
Sweetwyne MT, Brekken RA, Workman G, Bradshaw AD, Carbon J, Siadak AW, Murri C, Sage EH
The journal of histochemistry and cytochemistry : official journal of the Histochemistry Society 2004 Jun;52(6):723-33
The journal of histochemistry and cytochemistry : official journal of the Histochemistry Society 2004 Jun;52(6):723-33
No comments: Submit comment
Supportive validation
- Submitted by
- Novus Biologicals (provider)
- Main image

- Experimental details
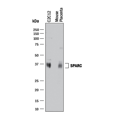
- Detection of Mouse SPARC by Western Blot. Western blot shows lysates of C2C12 mouse myoblast cell line and mouse placenta tissue. PVDF membrane was probed with 0.2 µg/mL of Goat Anti-Mouse SPARC Antigen Affinity-purified Polyclonal Antibody (Catalog # AF942) followed by HRP-conjugated Anti-Goat IgG Secondary Antibody (Catalog # HAF017). A specific band was detected for SPARC at approximately 35-37 kDa (as indicated). This experiment was conducted under reducing conditions and using Immunoblot Buffer Group 1.
Supportive validation
- Submitted by
- Novus Biologicals (provider)
- Main image

- Experimental details
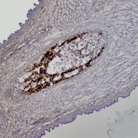
- SPARC/Osteonectin in Mouse Embryo. SPARC/Osteonectin was detected in immersion fixed frozen sections of mouse embryo (E15) using Mouse SPARC/ Osteonectin Antigen Affinity-purified Polyclonal Antibody (Catalog # AF942) at 1.7 µg/mL overnight at 4 °C. Tissue was stained using the Anti-Goat HRP-DAB Cell & Tissue Staining Kit (brown; Catalog # CTS008) and counterstained with hematoxylin (blue). Specific staining was localized to developing cartilage. View our protocol for Chromogenic IHC Staining of Frozen Tissue Sections.