Antibody data
- Antibody Data
 - Antigen structure
 - References [0]
 - Comments [0]
 - Validations
 - Western blot [1]
 - Immunohistochemistry [3]
 
Submit
Validation data
Reference
Comment
Report error
- Product number
 - LS-C155292 - Provider product page

 - Provider
 - LSBio
 - Product name
 - NPC2 Antibody LS-C155292
 - Antibody type
 - Polyclonal
 - Description
 - Immunoaffinity purified
 - Reactivity
 - Human
 - Host
 - Rabbit
 - Isotype
 - IgG
 - Storage
 - Aliquot and freeze at -20°C. Avoid freeze-thaw cycles.
 
				No comments: Submit comment	
	
			
							
					Enhanced validation
					
									
				
				- Submitted by
 - LSBio (provider)
 - Enhanced method
 - Genetic validation
 - Main image
 
- Experimental details
 - Sample (30 ug of whole cell lysate) A: HeLa 15% SDS PAGE NPC2 antibody diluted at 1:1000
 
							
					Supportive validation
					
									
				
		- Submitted by
 - LSBio (provider)
 - Enhanced method
 - Genetic validation
 - Main image
 
- Experimental details
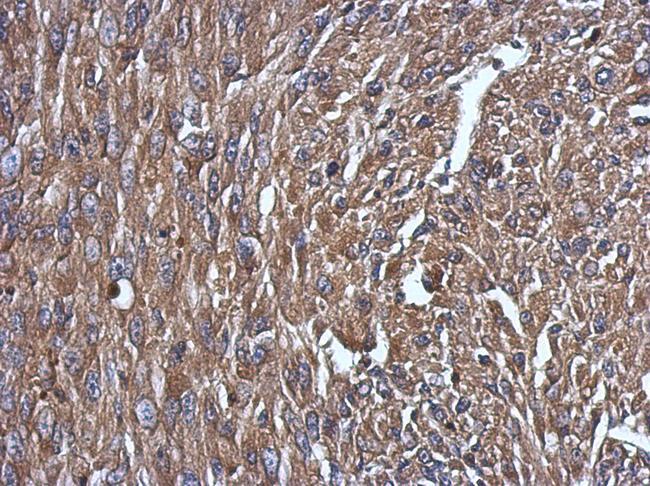
 - IHC of paraffin-embedded U87 xenograft, using NPC2 antibody at 1:500 dilution.
 
- Submitted by
 - LSBio (provider)
 - Enhanced method
 - Genetic validation
 - Main image
 
- Experimental details
 - IHC of paraffin-embedded U87 xenograft, using NPC2 antibody at 1:500 dilution.
 
- Submitted by
 - LSBio (provider)
 - Enhanced method
 - Genetic validation
 - Main image
 
- Experimental details
 - IHC of paraffin-embedded U87 xenograft, using NPC2 antibody at 1:500 dilution.