Antibody data
- Antibody Data
- Antigen structure
- References [0]
- Comments [0]
- Validations
- Immunohistochemistry [8]
Submit
Validation data
Reference
Comment
Report error
- Product number
- ARG52891 - Provider product page

- Provider
- Arigo
- Product name
- anti-Coagulation Factor XIIIa antibody [SP196]
- Antibody type
- Monoclonal
- Antigen
- Synthetic peptide near the N-terminus of human coagulation factor XIIIa protein.
- Description
- Purified by protein A/G
- Reactivity
- Human
- Host
- Rabbit
- Isotype
- IgG
- Antibody clone number
- SP196
- Vial size
- 100 µl
- Storage
- Aliquot and store at 2-8°C. Do not freeze. The antibody solution should be gently mixed before use.
- Handling
- The antibody solution should be gently mixed before use.
No comments: Submit comment
Supportive validation
- Submitted by
- Arigo (provider)
- Main image

- Experimental details
- Immunohistochemistry: Human Placenta stained with Coagulation Factor XIIIa antibody [SP196] (ARG52891)
- Submitted by
- Arigo (provider)
- Main image

- Experimental details
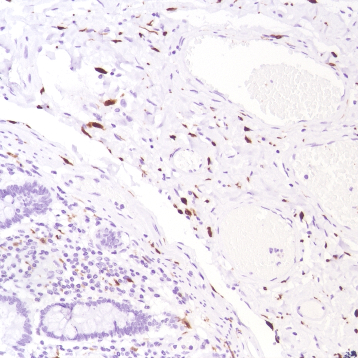
- Immunohistochemistry: Human Colon stained with Coagulation Factor XIIIa antibody [SP196] (ARG52891)
- Submitted by
- Arigo (provider)
- Main image

- Experimental details
- Immunohistochemistry: Human HK Lymphoma stained with Coagulation Factor XIIIa antibody [SP196] (ARG52891)
- Submitted by
- Arigo (provider)
- Main image

- Experimental details
- Immunohistochemistry: Human Esophagus stained with Coagulation Factor XIIIa antibody [SP196] (ARG52891)
- Submitted by
- Arigo (provider)
- Main image

- Experimental details
- Immunohistochemistry: Human Bladder stained with Coagulation Factor XIIIa antibody [SP196] (ARG52891)
- Submitted by
- Arigo (provider)
- Main image

- Experimental details
- Immunohistochemistry: Human Lung stained with Coagulation Factor XIIIa antibody [SP196] (ARG52891)
- Submitted by
- Arigo (provider)
- Main image

- Experimental details
- Immunohistochemistry: Human Skin stained with Coagulation Factor XIIIa antibody [SP196] (ARG52891)
- Submitted by
- Arigo (provider)
- Main image

- Experimental details
- Immunohistochemistry: Human Skin Squamous Cell Carcinoma stained with Coagulation Factor XIIIa antibody [SP196] (ARG52891)