Antibody data
- Antibody Data
- Antigen structure
- References [0]
- Comments [0]
- Validations
- Other assay [1]
Submit
Validation data
Reference
Comment
Report error
- Product number
- STJ180323 - Provider product page

- Provider
- St John's Laboratory
- Product name
- Anti-Factor XIIIa antibody [ZM84] (STJ180323)
- Antibody type
- Monoclonal
- Description
- Mouse monoclonal antibody anti-Factor XIIIa is suitable for use in Immunohistochemistry research applications.
- Reactivity
- Human
- Host
- Mouse
- Conjugate
- Unconjugated
- Antigen sequence
NA- Epitope
- NA
- Isotype
- IgG
- Antibody clone number
- NA
- Vial size
- NA
- Concentration
- NA
- Storage
- Store at 2‐8°C for up to 24 months. Predilute: Ready to use, no reconstitution necessary. Concentrate: Use dilution range and appropriate lab‐standardized diluent. Stability after dilution: 7 days at 24°C, 3 months at 2‐8°C, 6months at ‐20°C.
- Handling
- NA
No comments: Submit comment
Supportive validation
- Submitted by
- St John's Laboratory (provider)
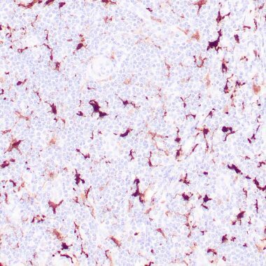
- Main image

- Experimental details
- Human neuroblastoma stained with anti-Factor XIIIa antibody using peroxidase-conjugate and DAB chromogen. Note the cytoplasmic staining of fibroblasts and macrophages.
- Sample type
- NA
- Validation comment
- NA
- Primary Ab dilution
- NA
- Other comments
- NA
- Secondary Ab
- NA
- Secondary Ab dilution
- NA
- Protocol
- NA