Antibody data
- Antibody Data
- Antigen structure
- References [0]
- Comments [0]
- Validations
- Western blot [2]
- Immunohistochemistry [4]
- Flow cytometry [1]
Submit
Validation data
Reference
Comment
Report error
- Product number
- GTX83710 - Provider product page

- Provider
- GeneTex
- Proper citation
- GeneTex Cat#GTX83710, RRID:AB_10728071
- Product name
- RIT2 antibody [3F4]
- Antibody type
- Monoclonal
- Reactivity
- Human, Rat, Canine, Simian
- Host
- Mouse
No comments: Submit comment
Supportive validation
- Submitted by
- GeneTex (provider)
- Main image

- Experimental details
- HEK293T cells were transfected with the pCMV6-ENTRY control (Left lane) or pCMV6-ENTRY RIT2 (Right lane) cDNA for 48 hrs and lysed. Equivalent amounts of cell lysates (5 ug per lane) were separated by SDS-PAGE and immunoblotted with anti-RIT2.
- Submitted by
- GeneTex (provider)
- Main image

- Experimental details
- Western blot analysis of extracts (35ug) from 9 different cell lines by using anti-RIT2 monoclonal antibody.
Supportive validation
- Submitted by
- GeneTex (provider)
- Main image

- Experimental details
- Immunohistochemical staining of paraffin-embedded Adenocarcinoma of Human ovary tissue using anti-RIT2 mouse monoclonal antibody. (GTX83710, Dilution 1:50)
- Submitted by
- GeneTex (provider)
- Main image

- Experimental details
- Immunohistochemical staining of paraffin-embedded Human breast tissue using anti-RIT2 mouse monoclonal antibody. (GTX83710, Dilution 1:50)
- Submitted by
- GeneTex (provider)
- Main image

- Experimental details
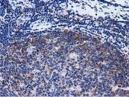
- Immunohistochemical staining of paraffin-embedded Human lymph node tissue using anti-RIT2 mouse monoclonal antibody. (GTX83710, Dilution 1:50)
- Submitted by
- GeneTex (provider)
- Main image

- Experimental details
- Immunohistochemical staining of paraffin-embedded Human pancreas tissue using anti-RIT2 mouse monoclonal antibody. (GTX83710, Dilution 1:50)
Supportive validation
- Submitted by
- GeneTex (provider)
- Main image

- Experimental details
- HEK293T cells transfected with either RC205367 overexpress plasmid(Red) or empty vector control plasmid(Blue) were immunostained by anti-RIT2 antibody(GTX83710), and then analyzed by flow cytometry.