H00004627-M06
antibody from Novus Biologicals
Targeting: MYH9
DFNA17, EPSTS, FTNS, MHA, NMHC-II-A, NMMHCA
Antibody data
- Antibody Data
- Antigen structure
- References [2]
- Comments [0]
- Validations
- ELISA [1]
- Immunohistochemistry [1]
Submit
Validation data
Reference
Comment
Report error
- Product number
- H00004627-M06 - Provider product page

- Provider
- Novus Biologicals
- Proper citation
- Novus Cat#H00004627-M06, RRID:AB_669656
- Product name
- Mouse Monoclonal non-muscle Myosin IIA Antibody
- Antibody type
- Monoclonal
- Description
- IgG purified. myosin, heavy polypeptide 9, non-muscle
- Reactivity
- Human
- Host
- Mouse
- Isotype
- IgG
- Vial size
- 0.1 mg
- Storage
- Aliquot and store at -20C or -80C. Avoid freeze-thaw cycles.
Submitted references EGFR and myosin II inhibitors cooperate to suppress EGFR-T790M-mutant NSCLC cells.
A proteomic study of myosin II motor proteins during tumor cell migration.
Chiu HC, Chang TY, Huang CT, Chao YS, Hsu JT
Molecular oncology 2012 Jun;6(3):299-310
Molecular oncology 2012 Jun;6(3):299-310
A proteomic study of myosin II motor proteins during tumor cell migration.
Betapudi V, Gokulrangan G, Chance MR, Egelhoff TT
Journal of molecular biology 2011 Apr 15;407(5):673-86
Journal of molecular biology 2011 Apr 15;407(5):673-86
No comments: Submit comment
Supportive validation
- Submitted by
- Novus Biologicals (provider)
- Main image

- Experimental details
- ELISA: non-muscle Myosin IIA Antibody (4H3) [H00004627-M06] - Detection limit for recombinant GST tagged MYH9 is approximately 0.03ng/ml as a capture antibody.
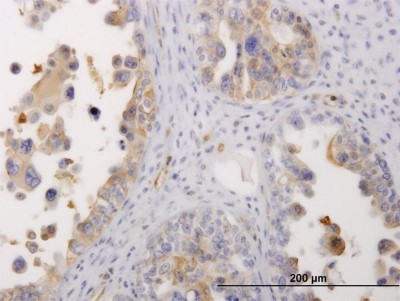
Supportive validation
- Submitted by
- Novus Biologicals (provider)
- Main image

- Experimental details
- Immunohistochemistry-Paraffin: non-muscle Myosin IIA Antibody (4H3) [H00004627-M06] - Analysis of monoclonal antibody to MYH9 on formalin-fixed paraffin-embedded human ovarian cancer. Antibody concentration 0.7 ug/ml