Antibody data
- Antibody Data
- Antigen structure
- References [4]
- Comments [0]
- Validations
- Western blot [2]
- Immunoprecipitation [2]
- Immunohistochemistry [4]
- Chromatin Immunoprecipitation [1]
Submit
Validation data
Reference
Comment
Report error
- Product number
- NB600-233 - Provider product page

- Provider
- Novus Biologicals
- Proper citation
- Novus Cat#NB600-233, RRID:AB_10000623
- Product name
- Rabbit Polyclonal SP1 Antibody
- Antibody type
- Polyclonal
- Description
- Immunogen affinity purified.
- Reactivity
- Human, Mouse
- Host
- Rabbit
- Isotype
- IgG
- Vial size
- 100 ul
- Concentration
- 1.0 mg/ml
- Storage
- Store at 4C. Do not freeze.
Submitted references Resistin impairs activation of protein C by suppressing EPCR and increasing SP1 expression.
Calpastatin upregulation in Mycoplasma hyorhinis-infected cells is promoted by the mycoplasma lipoproteins via the NF-κB pathway.
Expression patterns of SP1 and SP3 during mouse spermatogenesis: SP1 down-regulation correlates with two successive promoter changes and translationally compromised transcripts.
Sulfasalazine suppresses drug resistance and invasiveness of lung adenocarcinoma cells expressing AXL.
Zhang P, Liu Y, Su J, Bai J, Zhao S, Zhao S
Biomedicine & pharmacotherapy = Biomedecine & pharmacotherapie 2019 Jan;109:930-937
Biomedicine & pharmacotherapy = Biomedecine & pharmacotherapie 2019 Jan;109:930-937
Calpastatin upregulation in Mycoplasma hyorhinis-infected cells is promoted by the mycoplasma lipoproteins via the NF-κB pathway.
Elkind E, Vaisid T, Kornspan JD, Barnoy S, Rottem S, Kosower NS
Cellular microbiology 2012 Jun;14(6):840-51
Cellular microbiology 2012 Jun;14(6):840-51
Expression patterns of SP1 and SP3 during mouse spermatogenesis: SP1 down-regulation correlates with two successive promoter changes and translationally compromised transcripts.
Ma W, Horvath GC, Kistler MK, Kistler WS
Biology of reproduction 2008 Aug;79(2):289-300
Biology of reproduction 2008 Aug;79(2):289-300
Sulfasalazine suppresses drug resistance and invasiveness of lung adenocarcinoma cells expressing AXL.
Lay JD, Hong CC, Huang JS, Yang YY, Pao CY, Liu CH, Lai YP, Lai GM, Cheng AL, Su IJ, Chuang SE
Cancer research 2007 Apr 15;67(8):3878-87
Cancer research 2007 Apr 15;67(8):3878-87
No comments: Submit comment
Supportive validation
- Submitted by
- Novus Biologicals (provider)
- Main image

- Experimental details
- Western Blot: SP1 Antibody [NB600-233] - Samples: Whole cell lysate (50 ug) from HeLa, 293T, and mouse Renca cells prepared using NETN lysis buffer. Antibody: Affinity purified rabbit anti-SP1 antibody used for WB at 0.1 ug/ml. Detection: Chemiluminescence with an exposure time of 10 seconds.
- Submitted by
- Novus Biologicals (provider)
- Main image

- Experimental details
- Western Blot: SP1 Antibody [NB600-233] - Samples: Whole cell lysate (0.5 or 1.0 mg per IP reaction; 20% of IP loaded) from HeLa cells.
Supportive validation
- Submitted by
- Novus Biologicals (provider)
- Main image

- Experimental details
- Immunoprecipitation: SP1 Antibody [NB600-233] - Detection of Human SP1 on HeLa whole cell lysate using NB600-233. SP1 was immunoprecipitated using affinity purified rabbit anti-SP1 antibody NB600-233. NB600-233 was used at 0.04 mcg/ml for WB.
- Submitted by
- Novus Biologicals (provider)
- Main image

- Experimental details
- Immunoprecipitation: SP1 Antibody [NB600-233] - Detection of human SP1 by western blot of immunoprecipitates. Samples: Whole cell lysate (0.5 or 1.0 mg per IP reaction; 20% of IP loaded) from HeLa cells prepared using NETN lysis buffer. Antibodies: Affinity purified rabbit anti-SP1 antibody NB600-233 (lot NB600-233-5) used for IP at 6 ug per reaction. SP1 was also immunoprecipitated by a previous lot of this antibody (NB600-233-4) and another rabbit anti-SP1 antibody. For blotting immunoprecipitated SP1, NB600-233 was used at 1 ug/ml. Detection: Chemiluminescence with an exposure time of 10 seconds.
Supportive validation
- Submitted by
- Novus Biologicals (provider)
- Main image

- Experimental details
- Immunohistochemistry-Paraffin: SP1 Antibody [NB600-233] - Human breast carcinoma. Antibody: Affinity purified rabbit anti-SP1 used at a dilution of 1:5,000 (0.2ug/ml). Detection: DAB
- Submitted by
- Novus Biologicals (provider)
- Main image

- Experimental details
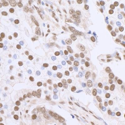
- Immunohistochemistry-Paraffin: SP1 Antibody [NB600-233] - FFPE section of human ovarian carcinoma. Affinity purified rabbit anti-Sp1 used at a dilution of 1:250.
- Submitted by
- Novus Biologicals (provider)
- Main image

- Experimental details
- Immunohistochemistry-Paraffin: SP1 Antibody [NB600-233] - FFPE section of human breast carcinoma. Affinity purified rabbit anti-Sp1 used at a dilution of 1:250.
- Submitted by
- Novus Biologicals (provider)
- Main image

- Experimental details
- Immunohistochemistry-Paraffin: SP1 Antibody [NB600-233] - Mouse renal cell carcinoma. Antibody: Affinity purified rabbit anti-SP1 used at a dilution of 1:5,000 (0.2ug/ml). Detection: DAB
Supportive validation
- Submitted by
- Novus Biologicals (provider)
- Main image

- Experimental details
- Chromatin Immunoprecipitation: SP1 Antibody [NB600-233] - Chromatin from acute myeloid leukemia cell line was immunoprecipitated with anti-Sp1 antibody and analyzed by DNA sequencing. The figure illustrates the peak distribution of Sp1 binding within a 250 Kb region of chromosome 6 as detected using anti-Sp1.