Antibody data
- Antibody Data
- Antigen structure
- References [0]
- Comments [0]
- Validations
- Western blot [1]
- Immunohistochemistry [2]
Submit
Validation data
Reference
Comment
Report error
- Product number
- NBP1-57317 - Provider product page

- Provider
- Novus Biologicals
- Proper citation
- Novus Cat#NBP1-57317, RRID:AB_11027279
- Product name
- Rabbit Polyclonal ZRSR2 Antibody
- Antibody type
- Polyclonal
- Description
- Protein A purified. This product is specific to Subunit or Isoform: -related protein 2.
- Reactivity
- Human
- Host
- Rabbit
- Isotype
- IgG
- Vial size
- 100ul
- Storage
- Store at -20C. Avoid freeze-thaw cycles.
No comments: Submit comment
Supportive validation
- Submitted by
- Novus Biologicals (provider)
- Main image

- Experimental details
- Western Blot: ZRSR2 Antibody [NBP1-57317] - HepG2 cell lysate, Antibody Titration: 2.5ug/ml
Supportive validation
- Submitted by
- Novus Biologicals (provider)
- Main image

- Experimental details
- Immunohistochemistry-Paraffin: ZRSR2 Antibody [NBP1-57317] - Human kidney Tissue, antibody concentration 4-8ug/ml. Cells with positive label: renal corpuscle cells (indicated with arrows) 400X magnification.
- Submitted by
- Novus Biologicals (provider)
- Main image

- Experimental details
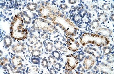
- Immunohistochemistry: ZRSR2 Antibody [NBP1-57317] - Human alveolar cell Cellular data: Epithelial cells of renal tubule Antibody Concentration: 4.0-8.0 ug/ml Magnification: 400X.