Antibody data
- Antibody Data
- Antigen structure
- References [1]
- Comments [0]
- Validations
- Western blot [2]
- Immunohistochemistry [5]
- Flow cytometry [1]
Submit
Validation data
Reference
Comment
Report error
- Product number
- NBP2-01264 - Provider product page

- Provider
- Novus Biologicals
- Product name
- Mouse Monoclonal ELK3 Antibody
- Antibody type
- Monoclonal
- Description
- Affinity purified.
- Reactivity
- Human
- Host
- Mouse
- Isotype
- IgG
- Vial size
- 0.1 ml
- Concentration
- 0.85 mg/ml
- Storage
- Store at -20C. Avoid freeze-thaw cycles.
Submitted references ELK3-GATA3 axis modulates MDA-MB-231 metastasis by regulating cell-cell adhesion-related genes.
Kim KS, Kim J, Oh N, Kim MY, Park KS
Biochemical and biophysical research communications 2018 Apr 6;498(3):509-515
Biochemical and biophysical research communications 2018 Apr 6;498(3):509-515
No comments: Submit comment
Supportive validation
- Submitted by
- Novus Biologicals (provider)
- Main image

- Experimental details
- Western Blot: ELK3 Antibody (1H3) [NBP2-01264] - HEK293T cells were transfected with the pCMV6-ENTRY control (Left lane) or pCMV6-ENTRY ELK3 (Right lane) cDNA for 48 hrs and lysed. Equivalent amounts of cell lysates (5 ug per lane) were separated by SDS-PAGE and immunoblotted with anti-ELK3.
- Submitted by
- Novus Biologicals (provider)
- Main image

- Experimental details
- Western Blot: ELK3 Antibody (OTI1H3) [NBP2-01264] - Breast cancer cells. Lane 1: MDA-MB231 + Negative control siRNA. Lane 2: MDA-MB231 + siELK3-1. Lane 3: MDA-MB231 + siELK3-2. Image from verified customer review.
Supportive validation
- Submitted by
- Novus Biologicals (provider)
- Main image

- Experimental details
- Immunohistochemistry-Paraffin: ELK3 Antibody (1H3) [NBP2-01264] - Staining of paraffin-embedded Adenocarcinoma of Human colon tissue using anti-ELK3 mouse monoclonal antibody.
- Submitted by
- Novus Biologicals (provider)
- Main image

- Experimental details
- Immunohistochemistry-Paraffin: ELK3 Antibody (1H3) [NBP2-01264] - Staining of paraffin-embedded Adenocarcinoma of Human endometrium tissue using anti-ELK3 mouse monoclonal antibody.
- Submitted by
- Novus Biologicals (provider)
- Main image

- Experimental details
- Immunohistochemistry-Paraffin: ELK3 Antibody (1H3) [NBP2-01264] - Staining of paraffin-embedded Carcinoma of Human prostate tissue using anti-ELK3 mouse monoclonal antibody.
- Submitted by
- Novus Biologicals (provider)
- Main image

- Experimental details
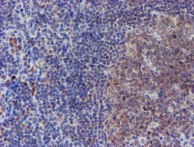
- Immunohistochemistry-Paraffin: ELK3 Antibody (1H3) [NBP2-01264] - Staining of paraffin-embedded Human lymphoma tissue using anti-ELK3 mouse monoclonal antibody.
- Submitted by
- Novus Biologicals (provider)
- Main image

- Experimental details
- Immunohistochemistry-Paraffin: ELK3 Antibody (1H3) [NBP2-01264] - Staining of paraffin-embedded Human tonsil using anti-ELK3 mouse monoclonal antibody.
Supportive validation
- Submitted by
- Novus Biologicals (provider)
- Main image

- Experimental details
- Flow Cytometry: ELK3 Antibody (1H3) [NBP2-01264] - HEK293T cells transfected with either overexpression plasmid (Red) or empty vector control plasmid (Blue) were immunostained by anti-ELK3 antibody, and then analyzed by flow cytometry.