Antibody data
- Antibody Data
- Antigen structure
- References [1]
- Comments [0]
- Validations
- Immunohistochemistry [1]
Submit
Validation data
Reference
Comment
Report error
- Product number
- sc-13549 - Provider product page

- Provider
- Santa Cruz Biotechnology
- Proper citation
- Santa Cruz Biotechnology Cat#sc-13549, RRID:AB_2135240
- Product name
- Anti-LPA
- Antibody type
- Monoclonal
- Reactivity
- Human
- Host
- Mouse
Submitted references Dysregulation of sterol regulatory element binding protein-1c in livers of morbidly obese women is associated with altered suppressor of cytokine signaling-3 and signal transducer and activator of transcription-1 signaling.
Elam MB, Yellaturu C, Howell GE, Deng X, Cowan GS, Kumar P, Park EA, Hiler ML, Wilcox HG, Hughes TA, Cook GA, Raghow R
Metabolism: clinical and experimental 2010 Apr;59(4):587-98
Metabolism: clinical and experimental 2010 Apr;59(4):587-98
No comments: Submit comment
Supportive validation
- Submitted by
- per
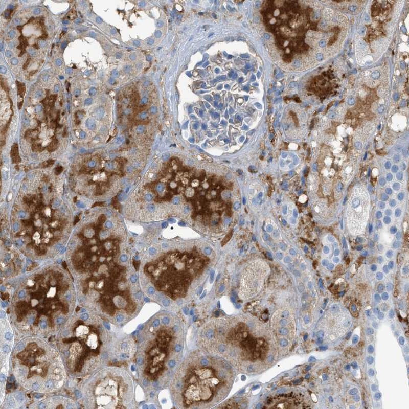
- Main image

- Experimental details
- Immunohistochemical staining of human kidney shows distinc extra cellular and some, weaker membranous and cytoplasmic positivity in cells in tubules.
- Validation comment
- Staining pattern partly consistent with experimental and/or bioinformatic data.