Antibody data
- Antibody Data
- Antigen structure
- References [0]
- Comments [0]
- Validations
- Western blot [1]
- Immunohistochemistry [1]
Submit
Validation data
Reference
Comment
Report error
- Product number
- AM06297SU-N - Provider product page

- Provider
- Acris Antibodies GmbH
- Proper citation
- Acris Antibodies GmbH Cat#AM06297SU-N, RRID:AB_11216961
- Product name
- anti Apolipoprotein(a) / LP(a)
- Antibody type
- Monoclonal
- Antigen
- Purified recombinant fragment of LPA (4330-4521) expressed in E. Coli.
- Reactivity
- Human
- Host
- Mouse
- Isotype
- IgG
- Antibody clone number
- 8F6A9
- Vial size
- 0.1 ml
No comments: Submit comment
Supportive validation
- Submitted by
- Acris Antibodies GmbH (provider)
- Main image

- Experimental details
- Western blot analysis using LPA antibody Cat.-No AM06297SU-N against truncated LPA-His recombinant protein (Lane 1) and truncated Trx-LPA(aa4330-4521) recombinant protein (Lane 2).
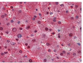
Supportive validation
- Submitted by
- Acris Antibodies GmbH (provider)
- Main image

- Experimental details
- Immunohistochemical analysis of paraffin-embedded human Liver tissues using LPA antibody Cat.-No AM06297SU-N