Antibody data
- Antibody Data
- Antigen structure
- References [20]
- Comments [0]
- Validations
- Western blot [1]
- Immunocytochemistry [1]
- Immunohistochemistry [1]
Submit
Validation data
Reference
Comment
Report error
- Product number
- 11089-1-AP - Provider product page

- Provider
- Proteintech Group
- Proper citation
- Proteintech Cat#11089-1-AP, RRID:AB_2152928
- Product name
- NFE2 antibody
- Antibody type
- Polyclonal
- Description
- NFE2 antibody (Cat. #11089-1-AP) is a rabbit polyclonal antibody that shows reactivity with human and has been validated for the following applications: IF, IHC, IP, WB,ELISA.
- Reactivity
- Human
- Host
- Rabbit
- Conjugate
- Unconjugated
- Isotype
- IgG
- Vial size
- 20ul, 150ul
Submitted references Naringenin inhibits Ferroptosis and ameliorates interstitial cystitis with metabolic syndrome by activating the Nrf2/NQO-1 pathway.
Ginkgolic acid: a novel IL1R1 agonist facilitating megakaryocyte differentiation and platelet production via the SRC/MEK/ERK pathway.
Regulating mitochondrial oxidative phosphorylation and MAPK signaling: wedelolactone as a novel therapeutic for radiation-induced thrombocytopenia.
Ferulic acid promotes thrombopoiesis via TLR4/JAK2/STAT3 signaling: A novel therapeutic strategy for thrombocytopenia.
Oxymatrine, a novel TLR2 agonist, promotes megakaryopoiesis and thrombopoiesis through the STING/NF-κB pathway.
NFE2-driven neutrophil polarization promotes pancreatic cancer liver metastasis progression.
Genistin: A Novel Estrogen Analogue Targeting ERβ to Alleviate Thrombocytopenia.
Harmine promotes megakaryocyte differentiation and thrombopoiesis by activating the Rac1/Cdc42/JNK pathway through a potential target of 5-HTR2A.
Alnustone promotes megakaryocyte differentiation and platelet production via the interleukin-17A/interleukin-17A receptor/Src/RAC1/MEK/ERK signaling pathway.
Decreasing circ_0014614 promotes the differentiation of bone marrow flineage cells into megakaryocytes in essential thrombocythemia via activiation of miR-138-5p/caspase3 axis.
Activating SRC/MAPK signaling via 5-HT1A receptor contributes to the effect of vilazodone on improving thrombocytopenia.
Xanthotoxin, a novel inducer of platelet formation, promotes thrombocytopoiesis via IL-1R1 and MEK/ERK signaling.
Targeting CXCR1 alleviates hyperoxia-induced lung injury through promoting glutamine metabolism.
Succinylation of CTBP1 mediated by KAT2A suppresses its inhibitory activity on the transcription of CDH1 to promote the progression of prostate cancer.
Paired guide RNA CRISPR-Cas9 screening for protein-coding genes and lncRNAs involved in transdifferentiation of human B-cells to macrophages.
Fine-Tuning of Cholesterol Homeostasis Controls Erythroid Differentiation.
Targeting TLR2/Rac1/cdc42/JNK Pathway to Reveal That Ruxolitinib Promotes Thrombocytopoiesis.
ERK and p38 MAPK inhibition controls NF-E2 degradation and profibrotic signaling in renal proximal tubule cells.
Loss of NF-E2 expression contributes to the induction of profibrotic signaling in diabetic kidneys.
Heme levels are increased in human failing hearts.
Zhao J, Ju C, Shao C, Sun Y, Yang T, Liu J, Wu D, Li H, Jia R, Zhou L, Zhao F
International immunopharmacology 2026 May 1;176:116485
International immunopharmacology 2026 May 1;176:116485
Ginkgolic acid: a novel IL1R1 agonist facilitating megakaryocyte differentiation and platelet production via the SRC/MEK/ERK pathway.
Wang Y, Liao R, Liao R, Huang M, Jiang P, Liu Z, Wu A, Huang F, Huang Q, Luo J, Wang L, Wu J
International immunopharmacology 2026 Jan 1;168(Pt 2):115884
International immunopharmacology 2026 Jan 1;168(Pt 2):115884
Regulating mitochondrial oxidative phosphorylation and MAPK signaling: wedelolactone as a novel therapeutic for radiation-induced thrombocytopenia.
Li Z, Li Q, Wu S, Mei X, Qi X, Liu S, Qiao G, Shen H, Luo J, Zeng J, Huang F, Li R, Wang L
Frontiers in pharmacology 2025;16:1508215
Frontiers in pharmacology 2025;16:1508215
Ferulic acid promotes thrombopoiesis via TLR4/JAK2/STAT3 signaling: A novel therapeutic strategy for thrombocytopenia.
Liao R, Huang M, Liu Z, Wang X, Gan X, Hao L, Jiang P, Luo J, Huang Q, Mei Q, Wu A, Wang L, Wu J
Biochemical pharmacology 2025 Sep;239:117088
Biochemical pharmacology 2025 Sep;239:117088
Oxymatrine, a novel TLR2 agonist, promotes megakaryopoiesis and thrombopoiesis through the STING/NF-κB pathway.
Ni C, Zhou L, Yang S, Ran M, Luo J, Cheng K, Huang F, Tang X, Xie X, Qin D, Mei Q, Wang L, Xiao J, Wu J
Journal of pharmaceutical analysis 2025 Jan;15(1):101054
Journal of pharmaceutical analysis 2025 Jan;15(1):101054
NFE2-driven neutrophil polarization promotes pancreatic cancer liver metastasis progression.
Xu W, Liu J, Liu Q, Xu J, Zhou L, Liang Z, Huang H, Huang B, Xiao GG, Guo J
Cell reports 2025 Feb 25;44(2):115226
Cell reports 2025 Feb 25;44(2):115226
Genistin: A Novel Estrogen Analogue Targeting ERβ to Alleviate Thrombocytopenia.
Tang X, Liao R, Zhou L, Yi T, Ran M, Luo J, Huang F, Wu A, Mei Q, Wang L, Huang X, Wu J
International journal of biological sciences 2024;20(6):2236-2260
International journal of biological sciences 2024;20(6):2236-2260
Harmine promotes megakaryocyte differentiation and thrombopoiesis by activating the Rac1/Cdc42/JNK pathway through a potential target of 5-HTR2A.
Liu X, Lai J, Zhang X, Wu A, Zhou L, Li Y, Huang Q, Huang X, Li H, Lan C, Liu J, Huang F, Wu J
Phytotherapy research : PTR 2024 Nov;38(11):5134-5149
Phytotherapy research : PTR 2024 Nov;38(11):5134-5149
Alnustone promotes megakaryocyte differentiation and platelet production via the interleukin-17A/interleukin-17A receptor/Src/RAC1/MEK/ERK signaling pathway.
Li Y, Lai J, Ran M, Yi T, Zhou L, Luo J, Liu X, Tang X, Huang M, Xie X, Li H, Yang Y, Zou W, Wu J
European journal of pharmacology 2024 May 15;971:176548
European journal of pharmacology 2024 May 15;971:176548
Decreasing circ_0014614 promotes the differentiation of bone marrow flineage cells into megakaryocytes in essential thrombocythemia via activiation of miR-138-5p/caspase3 axis.
Yu G, Chen X, Lu W, Li Y, Chen Y, Yin C, Zheng Z, Huang X, Xu D
Blood cells, molecules & diseases 2024 Jul;107:102855
Blood cells, molecules & diseases 2024 Jul;107:102855
Activating SRC/MAPK signaling via 5-HT1A receptor contributes to the effect of vilazodone on improving thrombocytopenia.
Zhou L, Ni C, Liao R, Tang X, Yi T, Ran M, Huang M, Liao R, Zhou X, Qin D, Wang L, Huang F, Xie X, Wan Y, Luo J, Wang Y, Wu J
eLife 2024 Apr 4;13
eLife 2024 Apr 4;13
Xanthotoxin, a novel inducer of platelet formation, promotes thrombocytopoiesis via IL-1R1 and MEK/ERK signaling.
Lai J, Li Y, Ran M, Huang Q, Huang F, Zhu L, Wu Y, Zou W, Xie X, Tang Y, Yang F, Wu A, Ge G, Wu J
Biomedicine & pharmacotherapy = Biomedecine & pharmacotherapie 2023 Jul;163:114811
Biomedicine & pharmacotherapy = Biomedecine & pharmacotherapie 2023 Jul;163:114811
Targeting CXCR1 alleviates hyperoxia-induced lung injury through promoting glutamine metabolism.
Qin H, Zhuang W, Liu X, Wu J, Li S, Wang Y, Liu X, Chen C, Zhang H
Cell reports 2023 Jul 25;42(7):112745
Cell reports 2023 Jul 25;42(7):112745
Succinylation of CTBP1 mediated by KAT2A suppresses its inhibitory activity on the transcription of CDH1 to promote the progression of prostate cancer.
Zhou J, Yan X, Liu Y, Yang J
Biochemical and biophysical research communications 2023 Apr 2;650:9-16
Biochemical and biophysical research communications 2023 Apr 2;650:9-16
Paired guide RNA CRISPR-Cas9 screening for protein-coding genes and lncRNAs involved in transdifferentiation of human B-cells to macrophages.
Arnan C, Ullrich S, Pulido-Quetglas C, Nurtdinov R, Esteban A, Blanco-Fernandez J, Aparicio-Prat E, Johnson R, Pérez-Lluch S, Guigó R
BMC genomics 2022 May 26;23(1):402
BMC genomics 2022 May 26;23(1):402
Fine-Tuning of Cholesterol Homeostasis Controls Erythroid Differentiation.
Lu Z, Huang L, Li Y, Xu Y, Zhang R, Zhou Q, Sun Q, Lu Y, Chen J, Shen Y, Li J, Zhao B
Advanced science (Weinheim, Baden-Wurttemberg, Germany) 2022 Jan;9(2):e2102669
Advanced science (Weinheim, Baden-Wurttemberg, Germany) 2022 Jan;9(2):e2102669
Targeting TLR2/Rac1/cdc42/JNK Pathway to Reveal That Ruxolitinib Promotes Thrombocytopoiesis.
Yang S, Tang X, Wang L, Ni C, Wu Y, Zhou L, Zeng Y, Zhao C, Wu A, Wang Q, Xu X, Wang Y, Chen R, Zhang X, Zou L, Huang X, Wu J
International journal of molecular sciences 2022 Dec 17;23(24)
International journal of molecular sciences 2022 Dec 17;23(24)
ERK and p38 MAPK inhibition controls NF-E2 degradation and profibrotic signaling in renal proximal tubule cells.
Li J, Jin S, Barati MT, Rane S, Lin Q, Tan Y, Cai L, Rane MJ
Life sciences 2021 Dec 15;287:120092
Life sciences 2021 Dec 15;287:120092
Loss of NF-E2 expression contributes to the induction of profibrotic signaling in diabetic kidneys.
Jin S, Li J, Barati M, Rane S, Lin Q, Tan Y, Zheng Z, Cai L, Rane MJ
Life sciences 2020 Aug 1;254:117783
Life sciences 2020 Aug 1;254:117783
Heme levels are increased in human failing hearts.
Khechaduri A, Bayeva M, Chang HC, Ardehali H
Journal of the American College of Cardiology 2013 May 7;61(18):1884-93
Journal of the American College of Cardiology 2013 May 7;61(18):1884-93
No comments: Submit comment
Supportive validation
- Submitted by
- Proteintech Group (provider)
- Main image

- Experimental details
- K-562 cells were subjected to SDS PAGE followed by western blot with 11089-1-AP(NFE2 antibody) at dilution of 1:500
- Sample type
- cell line
Supportive validation
- Submitted by
- Proteintech Group (provider)
- Main image

- Experimental details
- Immunofluorescent analysis of HepG2 cells, using NFE2 antibody 11089-1-AP at 1:100 dilution and FITC-labeled donkey anti-rabbit IgG(green). Blue pseudocolor = DAPI (fluorescent DNA dye).
- Sample type
- cell line
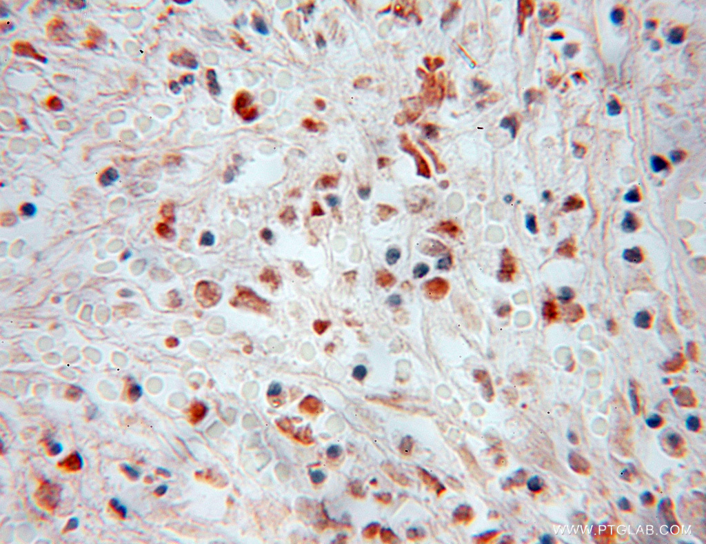
Supportive validation
- Submitted by
- Proteintech Group (provider)
- Main image

- Experimental details
- Immunohistochemical of paraffin-embedded human colon cancer using 11089-1-AP(NFE2 antibody) at dilution of 1:50 (under 10x lens)
- Sample type
- tissue