Antibody data
- Antibody Data
- Antigen structure
- References [0]
- Comments [0]
- Validations
- Western blot [1]
- Immunohistochemistry [3]
Submit
Validation data
Reference
Comment
Report error
- Product number
- LS-C29940 - Provider product page

- Provider
- LSBio
- Proper citation
- LifeSpan Cat#LS-C29940, RRID:AB_2280267
- Product name
- IKZF5 Antibody (N-Terminus) LS-C29940
- Antibody type
- Polyclonal
- Description
- Immunoaffinity purified
- Reactivity
- Human
- Host
- Rabbit
- Isotype
- IgG
- Storage
- Short term: Store at 2-8°C. Long term: Aliquot and store at -20°C. Avoid freeze/thaw cycles.
No comments: Submit comment
Enhanced validation
- Submitted by
- LSBio (provider)
- Enhanced method
- Genetic validation
- Main image

- Experimental details
- Fetal Muscle Lysate. This image was taken for the unconjugated form of this product. Other forms have not been tested.
Enhanced validation
- Submitted by
- LSBio (provider)
- Enhanced method
- Genetic validation
- Main image

- Experimental details
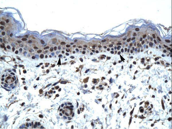
- IKZF5 antibody ARP33276_P050-NP_071911-ZNFN1A5 Antibody was used in IHC to stain formalin-fixed, paraffin-embedded human skin. This image was taken for the unconjugated form of this product. Other forms have not been tested.
- Submitted by
- LSBio (provider)
- Enhanced method
- Genetic validation
- Main image

- Experimental details
- IKZF5 antibody ARP33276_P050-NP_071911-ZNFN1A5 Antibody was used in IHC to stain formalin-fixed, paraffin-embedded human skin. This image was taken for the unconjugated form of this product. Other forms have not been tested.
- Submitted by
- LSBio (provider)
- Main image

- Experimental details
- IKZF5 antibody ARP33276_P050-NP_071911-ZNFN1A5 Antibody was used in IHC to stain formalin-fixed, paraffin-embedded human skin. This image was taken for the unconjugated form of this product. Other forms have not been tested.