Antibody data
- Antibody Data
- Antigen structure
- References [0]
- Comments [0]
- Validations
- Western blot [1]
- Immunohistochemistry [1]
Submit
Validation data
Reference
Comment
Report error
- Product number
- PAB25798 - Provider product page

- Provider
- Abnova Corporation
- Product name
- NKX2-2 polyclonal antibody
- Antibody type
- Polyclonal
- Description
- Rabbit polyclonal antibody raised against synthetic peptide of NKX2-2.
- Isotype
- IgG
- Storage
- Store at 4°C for three months. For long term storage store at -20°C.Aliquot to avoid repeated freezing and thawing.
No comments: Submit comment
Supportive validation
- Submitted by
- Abnova Corporation (provider)
- Main image

- Experimental details
- Western blot analysis of NKX2-2 in rat kidney tissue with NKX2-2 polyclonal antibody (Cat # PAB25798) at 1 ug/mL in (lane 1) the absence and (lane 2) the presence of blocking peptide.
Supportive validation
- Submitted by
- Abnova Corporation (provider)
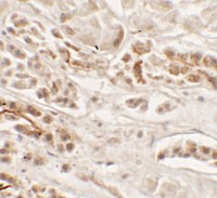
- Main image

- Experimental details
- Immunohistochemical analysis of NKX2-2 in human kidney tissue with NKX2-2 polyclonal antibody (Cat # PAB25798) at 2.5 ug/mL.
- Validation comment
- Immunohistochemistry