Antibody data
- Antibody Data
- Antigen structure
- References [0]
- Comments [0]
- Validations
- Western blot [1]
- Immunohistochemistry [1]
Submit
Validation data
Reference
Comment
Report error
- Product number
- AP08947PU-N - Provider product page

- Provider
- Acris Antibodies GmbH
- Proper citation
- Acris Antibodies GmbH Cat#AP08947PU-N, RRID:AB_2035427
- Product name
- anti DRAM1 (N-term)
- Antibody type
- Polyclonal
- Antigen
- Synthetic peptide - KLH conjugated corresponding to 16 amino acids from near the amino terminus of Human DRAM.
- Reactivity
- Human, Mouse, Rat
- Host
- Rabbit
- Isotype
- IgG
- Vial size
- 50 µg
- Concentration
- 1.0 mg/ml
No comments: Submit comment
Supportive validation
- Submitted by
- Acris Antibodies GmbH (provider)
- Main image

- Experimental details
- Western blot analysis of DRAM in K562 cell lysate with DRAM antibody at (A) 0.5, (B) 1 and (C) 2 µg/ml.
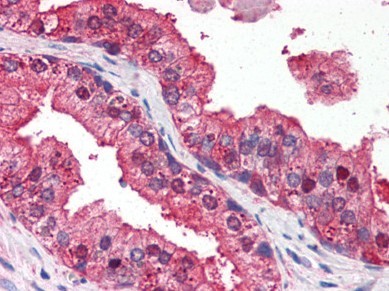
Supportive validation
- Submitted by
- Acris Antibodies GmbH (provider)
- Main image

- Experimental details
- AP08947PU-N DRAM antibody staining of Formalin-Fixed, Paraffin-Embedded Human Prostate at 3 µg/ml.