Antibody data
- Antibody Data
- Antigen structure
- References [0]
- Comments [0]
- Validations
- Western blot [1]
- Immunocytochemistry [1]
- Immunohistochemistry [1]
Submit
Validation data
Reference
Comment
Report error
- Product number
- TA503789 - Provider product page

- Provider
- OriGene
- Proper citation
- OriGene Cat#TA503789, RRID:AB_11128396
- Product name
- LPL (Lipoprotein lipase) mouse monoclonal antibody, clone OTI5C6 (formerly 5C6)
- Antibody type
- Monoclonal
- Description
- LPL (Lipoprotein lipase) mouse monoclonal antibody, clone OTI5C6 (formerly 5C6)
- Host
- Mouse
- Conjugate
- Unconjugated
- Epitope
- LPL
- Isotype
- IgG
- Antibody clone number
- OTI5C6
- Vial size
- 100 µl
- Concentration
- NULL
No comments: Submit comment
Supportive validation
- Submitted by
- OriGene (provider)
- Main image

- Experimental details
- HEK293T cells were transfected with the pCMV6-ENTRY control (Left lane) or pCMV6-ENTRY LPL (RC203766, Right lane) cDNA for 48 hrs and lysed. Equivalent amounts of cell lysates (5 ug per lane) were separated by SDS-PAGE and immunoblotted with anti-LPL.
- Validation comment
- WB
Supportive validation
- Submitted by
- OriGene (provider)
- Main image

- Experimental details
- Anti-LPL mouse monoclonal antibody (TA503789) immunofluorescent staining of COS7 cells transiently transfected by pCMV6-ENTRY LPL(RC203766).
- Validation comment
- IF
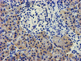
Supportive validation
- Submitted by
- OriGene (provider)
- Main image

- Experimental details
- Immunohistochemical staining of paraffin-embedded Human pancreas tissue within the normal limits using anti-LPL mouse monoclonal antibody. (Heat-induced epitope retrieval by 10mM citric buffer, pH6.0, 100C for 10min, TA503789)
- Validation comment
- IHC