Antibody data
- Antibody Data
- Antigen structure
- References [0]
- Comments [0]
- Validations
- Immunohistochemistry [1]
Submit
Validation data
Reference
Comment
Report error
- Product number
- BS-0716R - Provider product page

- Provider
- Invitrogen Antibodies
- Product name
- CIDEB Polyclonal Antibody
- Antibody type
- Polyclonal
- Antigen
- Synthetic peptide
- Reactivity
- Human, Mouse, Rat
- Host
- Rabbit
- Isotype
- IgG
- Vial size
- 100 µL
- Concentration
- 1 mg/mL
- Storage
- -20°C
No comments: Submit comment
Supportive validation
- Submitted by
- Invitrogen Antibodies (provider)
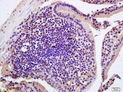
- Main image

- Experimental details
- Formalin-fixed and paraffin embedded mouse intestine labeled with Rabbit Anti CIDEB Polyclonal Antibody, Unconjugated (bs-0716R) at 1:200 followed by conjugation to the secondary antibody and DAB staining.