M02247
antibody from Boster Biological Technology
Targeting: OLIG2
BHLHB1, bHLHe19, OLIGO2, PRKCBP2, RACK17
Antibody data
- Antibody Data
- Antigen structure
- References [1]
- Comments [0]
- Validations
- Immunohistochemistry [1]
Submit
Validation data
Reference
Comment
Report error
- Product number
- M02247 - Provider product page

- Provider
- Boster Biological Technology
- Product name
- Anti-Olig2 Rabbit Monoclonal Antibody
- Antibody type
- Monoclonal
- Description
- Monoclonal antibody for OLIG2 detection. Host: Rabbit.Size: 100ug/vial. Tested applications: IHC, WB. Reactive species: Human, Mouse, Rat OLIG2 information: Molecular Weight: 32385 MW; Subcellular Localization: Nucleus . Cytoplasm . The NLS contained in the bHLH domain could be masked in the native form and translocation to the nucleus could be mediated by interaction either with class E bHLH partner protein or with NKX2-2; Tissue Specificity: Expressed in the brain, in oligodendrocytes. Strongly expressed in oligodendrogliomas, while expression is weak to moderate in astrocytomas. Expression in glioblastomas highly variable.
- Reactivity
- Human, Mouse, Rat
- Host
- Rabbit
- Antibody clone number
- ADC-15
- Vial size
- 100ug/vial
- Concentration
- 0.5-1mg/ml, actual concentration vary by lot. Use suggested dilution ratio to decide dilution procedure.
- Storage
- At -20°C for one year. Avoid repeated freezing and thawing.
Submitted references [Met(5)]-enkephalin preserves diffusion metrics in EAE mice.
Patel C, Meadowcroft MD, Zagon IS, McLaughlin PJ
Brain research bulletin 2020 Dec;165:246-252
Brain research bulletin 2020 Dec;165:246-252
No comments: Submit comment
Supportive validation
- Submitted by
- Boster Biological Technology (provider)
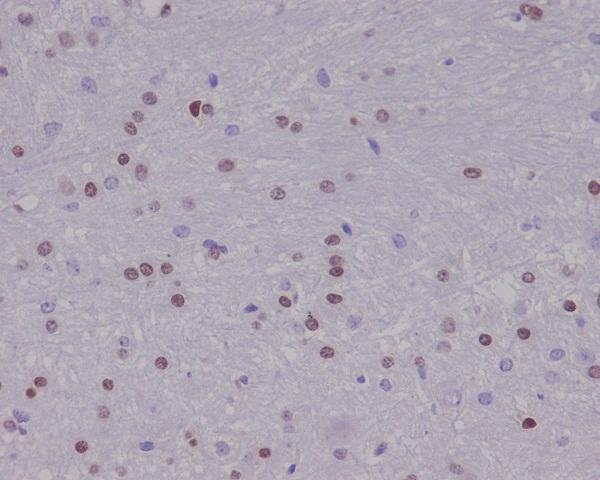
- Main image

- Experimental details
- Immunohistochemical analysis of paraffin-embedded human mouse brain, using Olig2 Antibody(M02247)OLIG2 was detected in paraffin-embedded tissue section. Heat mediated antigen retrieval was performed in citrate buffer (pH6, epitope retrieval solution) for 20 mins. The tissue section was blocked with 10% goat serum. The tissue section was then incubated with 1ug/ml rabbit anti-OLIG2 Antibody (M02247)overnight at 4°C. Biotinylated goat anti-rabbit IgG was used as secondary antibody and incubated for 30 minutes at 37°C. The tissue section was developed using Strepavidin-Biotin-Complex (SABC)(Catalog # SA1022) with DAB as the chromogen.
- Additional image
