Antibody data
- Antibody Data
- Antigen structure
- References [1]
- Comments [0]
- Validations
- Immunohistochemistry [5]
Submit
Validation data
Reference
Comment
Report error
- Product number
- NBP1-81669 - Provider product page

- Provider
- Novus Biologicals
- Proper citation
- Novus Cat#NBP1-81669, RRID:AB_11026529
- Product name
- Rabbit Polyclonal MEIS2 Antibody
- Antibody type
- Polyclonal
- Description
- Immunogen affinity purified. Specificity of human MEIS2 antibody verified on a Protein Array containing target protein plus 383 other non-specific proteins.
- Reactivity
- Human, Mouse
- Host
- Rabbit
- Isotype
- IgG
- Vial size
- 0.1 ml
- Storage
- Store at 4C short term. Aliquot and store at -20C long term. Avoid freeze-thaw cycles.
Submitted references Lmx1b and FoxC combinatorially regulate podocin expression in podocytes.
He B, Ebarasi L, Zhao Z, Guo J, Ojala JR, Hultenby K, De Val S, Betsholtz C, Tryggvason K
Journal of the American Society of Nephrology : JASN 2014 Dec;25(12):2764-77
Journal of the American Society of Nephrology : JASN 2014 Dec;25(12):2764-77
No comments: Submit comment
Supportive validation
- Submitted by
- Novus Biologicals (provider)
- Main image

- Experimental details
- Immunohistochemistry-Paraffin: MEIS2 Antibody [NBP1-81669] - Staining of human liver shows low expression as expected.
- Submitted by
- Novus Biologicals (provider)
- Main image

- Experimental details
- Immunohistochemistry-Paraffin: MEIS2 Antibody [NBP1-81669] - Staining of human prostate shows strong nuclear positivity in glandular and smooth muscle cells.
- Submitted by
- Novus Biologicals (provider)
- Main image

- Experimental details
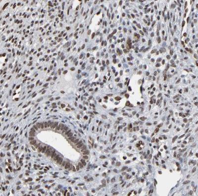
- Immunohistochemistry-Paraffin: MEIS2 Antibody [NBP1-81669] - Staining of human endometrium shows moderate nuclear positivity in glandular and stromal cells.
- Submitted by
- Novus Biologicals (provider)
- Main image

- Experimental details
- Immunohistochemistry-Paraffin: MEIS2 Antibody [NBP1-81669] - Staining of human cerebral cortex shows strong nuclear positivity in neurons.
- Submitted by
- Novus Biologicals (provider)
- Main image

- Experimental details
- Immunohistochemistry-Paraffin: MEIS2 Antibody [NBP1-81669] - Staining of human liver shows low positivity in hepatocytes as expected.