Antibody data
- Antibody Data
- Antigen structure
- References [0]
- Comments [0]
- Validations
- Western blot [3]
- Immunohistochemistry [3]
Submit
Validation data
Reference
Comment
Report error
- Product number
- NBP1-88890 - Provider product page

- Provider
- Novus Biologicals
- Proper citation
- Novus Cat#NBP1-88890, RRID:AB_11026573
- Product name
- Rabbit Polyclonal ATP6V1B2 Antibody
- Antibody type
- Polyclonal
- Description
- Immunogen affinity purified. Specificity of human, mouse, rat ATP6V1B2 antibody verified on a Protein Array containing target protein plus 383 other non-specific proteins.
- Reactivity
- Human, Mouse, Rat
- Host
- Rabbit
- Isotype
- IgG
- Vial size
- 0.1 ml
- Storage
- Store at 4C short term. Aliquot and store at -20C long term. Avoid freeze-thaw cycles.
No comments: Submit comment
Supportive validation
- Submitted by
- Novus Biologicals (provider)
- Main image

- Experimental details
- Western Blot: ATP6V1B2 Antibody [NBP1-88890] - Lane 1: Marker [kDa] 230, 130, 95, 72, 56, 36, 28, 17, 11. Lane 2: Human cell line RT-4. Lane 3: Human cell line U-251MG sp. Lane 4: Human plasma (IgG/HSA depleted). Lane 5: Human liver tissue. Lane 6: Human tonsil tissue
- Submitted by
- Novus Biologicals (provider)
- Main image

- Experimental details
- Western Blot: ATP6V1B2 Antibody [NBP1-88890] - Lane 1: NIH-3T3 cell lysate (Mouse embryonic fibroblast cells). Lane 2: NBT-II cell lysate (Rat Wistar bladder tumor cells).
- Submitted by
- Novus Biologicals (provider)
- Main image

- Experimental details
- Western Blot: ATP6V1B2 Antibody [NBP1-88890] - Analysis in human cell lines SK-MEL-30 and MCF-7 using anti-ATP6V1B2 antibody. Corresponding ATP6V1B2 RNA-seq data are presented for the same cell lines. Loading control: anti-PFN1.
Supportive validation
- Submitted by
- Novus Biologicals (provider)
- Main image

- Experimental details
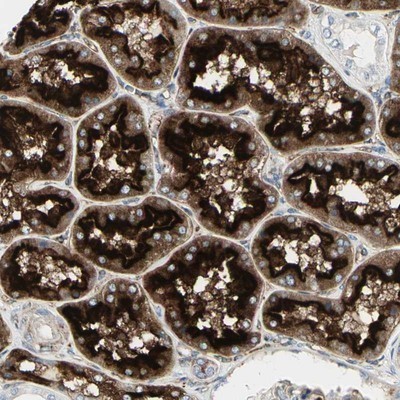
- Immunohistochemistry-Paraffin: ATP6V1B2 Antibody [NBP1-88890] - Staining of human kidney shows strong cytoplasmic and membranous positivity in cells in tubules.
- Submitted by
- Novus Biologicals (provider)
- Main image

- Experimental details
- Immunohistochemistry-Paraffin: ATP6V1B2 Antibody [NBP1-88890] - Staining of human skeletal muscle shows low expression as expected.
- Submitted by
- Novus Biologicals (provider)
- Main image

- Experimental details
- Immunohistochemistry-Paraffin: ATP6V1B2 Antibody [NBP1-88890] - Staining in human cerebral cortex and skeletal muscle tissues using anti-ATP6V1B2 antibody. Corresponding ATP6V1B2 RNA-seq data are presented for the same tissues.