Antibody data
- Antibody Data
- Antigen structure
- References [38]
- Comments [0]
- Validations
- Western blot [1]
- Immunohistochemistry [2]
Submit
Validation data
Reference
Comment
Report error
- Product number
- 14018-1-AP - Provider product page

- Provider
- Proteintech Group
- Proper citation
- Proteintech Cat#14018-1-AP, RRID:AB_2274498
- Product name
- BACH1 antibody
- Antibody type
- Polyclonal
- Description
- KD/KO validated BACH1 antibody (Cat. #14018-1-AP) is a rabbit polyclonal antibody that shows reactivity with human, mouse, rat and has been validated for the following applications: IHC, WB,ELISA.
- Reactivity
- Human, Mouse, Rat
- Host
- Rabbit
- Conjugate
- Unconjugated
- Isotype
- IgG
- Vial size
- 20ul, 150ul
Submitted references FTO alleviated ferroptosis in septic cardiomyopathy via mediating the m6A modification of BACH1.
PRMT1 promotes epigenetic reprogramming associated with acquired chemoresistance in pancreatic cancer.
Sinensetin protects against periodontitis through binding to Bach1 enhancing its ubiquitination degradation and improving oxidative stress.
Thermosensitive gel-nano system against esophageal cancer via restoring p53 activity and boosting T-cell immunity.
BACH1 promotes tissue necrosis and Mycobacterium tuberculosis susceptibility.
Bile acids inhibit ferroptosis sensitivity through activating farnesoid X receptor in gastric cancer cells.
δ-Tocotrienol preconditioning improves the capability of bone marrow-derived mesenchymal stem cells in promoting wound healing by inhibiting BACH1-related ferroptosis.
Lnc AC016727.1/BACH1/HIF-1 α signal loop promotes the progression of non-small cell lung cancer.
BACH1 deficiency prevents neointima formation and maintains the differentiated phenotype of vascular smooth muscle cells by regulating chromatin accessibility.
Bach1 modulates AKT3 transcription to participate in hyperglycaemia-mediated EndMT in vascular endothelial cells.
BACH1 promotes intervertebral disc degeneration by regulating HMOX1/GPX4 to mediate oxidative stress, ferroptosis, and lipid metabolism in nucleus pulposus cells.
Hyperforin Enhances Heme Oxygenase-1 Expression Triggering Lipid Peroxidation in BRAF-Mutated Melanoma Cells and Hampers the Expression of Pro-Metastatic Markers.
Regulation of DNA damage response by trimeric G-proteins.
The tRNA-GCN2-FBXO22-axis-mediated mTOR ubiquitination senses amino acid insufficiency.
BACH1 controls hepatic insulin signaling and glucose homeostasis in mice.
Protective effect of tin chloride on rhabdomyolysis-induced acute kidney injury in rats.
The MBNL1/circNTRK2/PAX5 pathway regulates aerobic glycolysis in glioblastoma cells by encoding a novel protein NTRK2-243aa.
Glucose Increases Hepatic Mitochondrial Antioxidant Enzyme Activities in Insulin Resistant Rats Following Chronic Angiotensin Receptor Blockade.
BACH1 regulates the proliferation and odontoblastic differentiation of human dental pulp stem cells.
MEF2D-NR4A1-FAM134B2-mediated reticulophagy contributes to amino acid homeostasis.
The SETD8/ELK1/bach1 complex regulates hyperglycaemia-mediated EndMT in diabetic nephropathy.
Interplay of Nrf2 and BACH1 in inducing ferroportin expression and enhancing resistance of human macrophages towards ferroptosis.
G-quadruplexes sense natural porphyrin metabolites for regulation of gene transcription and chromatin landscapes.
Single-Cell Analysis Identify Transcription Factor BACH1 as a Master Regulator Gene in Vascular Cells During Aging.
MicroRNA-30c-5p protects against myocardial ischemia/reperfusion injury via regulation of Bach1/Nrf2.
PTEN deficiency facilitates the therapeutic vulnerability to proteasome inhibitor bortezomib in gallbladder cancer.
Role of the Transcription Factor BTB and CNC Homology 1 in a Rat Model of Acute Liver Injury Induced by Experimental Endotoxemia.
Defective BACH1/HO-1 regulatory circuits in cystic fibrosis bronchial epithelial cells.
Heme oxygenase-1 induction by heat shock in rat hepatoma cell line is regulated by the coordinated function of HSF1, NRF2 and BACH1.
PTEN status determines chemosensitivity to proteasome inhibition in cholangiocarcinoma.
Enterovirus 71 induces neural cell apoptosis and autophagy through promoting ACOX1 downregulation and ROS generation.
Astragaloside IV Regulates the PI3K/Akt/HO-1 Signaling Pathway and Inhibits H9c2 Cardiomyocyte Injury Induced by Hypoxia-Reoxygenation.
S-1-Propenylcysteine augments BACH1 degradation and heme oxygenase 1 expression in a nitric oxide-dependent manner in endothelial cells.
microRNA 155 up regulation in the CNS is strongly correlated to Down's syndrome dementia.
Dynamic changes in Bach1 expression in the kidney of rhabdomyolysis-associated acute kidney injury.
The electrophilic character of quinones is essential for the suppression of Bach1.
Tetrachlorobenzoquinone induces Nrf2 activation via rapid Bach1 nuclear export/ubiquitination and JNK-P62 signaling.
Zinc Protoporphyrin Upregulates Heme Oxygenase-1 in PC-3 Cells via the Stress Response Pathway.
Zeng H, Xu J, Wu R, Wang X, Jiang Y, Wang Q, Guo J, Xiao F
Biochimica et biophysica acta. Molecular basis of disease 2024 Oct;1870(7):167307
Biochimica et biophysica acta. Molecular basis of disease 2024 Oct;1870(7):167307
PRMT1 promotes epigenetic reprogramming associated with acquired chemoresistance in pancreatic cancer.
Nguyen CDK, Colón-Emeric BA, Murakami S, Shujath MNY, Yi C
Cell reports 2024 May 28;43(5):114176
Cell reports 2024 May 28;43(5):114176
Sinensetin protects against periodontitis through binding to Bach1 enhancing its ubiquitination degradation and improving oxidative stress.
Yuan Z, Li J, Xiao F, Wu Y, Zhang Z, Shi J, Qian J, Wu X, Yan F
International journal of oral science 2024 May 11;16(1):38
International journal of oral science 2024 May 11;16(1):38
Thermosensitive gel-nano system against esophageal cancer via restoring p53 activity and boosting T-cell immunity.
Gong K, Lin J, Chen X, Duan Y, Zhang J, Yu J, Wang J, Sun R, Li J, Duan Y
Journal of controlled release : official journal of the Controlled Release Society 2024 Jul;371:111-125
Journal of controlled release : official journal of the Controlled Release Society 2024 Jul;371:111-125
BACH1 promotes tissue necrosis and Mycobacterium tuberculosis susceptibility.
Amaral EP, Namasivayam S, Queiroz ATL, Fukutani E, Hilligan KL, Aberman K, Fisher L, Bomfim CCB, Kauffman K, Buchanan J, Santuo L, Gazzinelli-Guimaraes PH, Costa DL, Teixeira MA, Barreto-Duarte B, Rocha CG, Santana MF, Cordeiro-Santos M, Barber DL, Wilkinson RJ, Kramnik I, Igarashi K, Scriba T, Mayer-Barber KD, Andrade BB, Sher A
Nature microbiology 2024 Jan;9(1):120-135
Nature microbiology 2024 Jan;9(1):120-135
Bile acids inhibit ferroptosis sensitivity through activating farnesoid X receptor in gastric cancer cells.
Liu CX, Gao Y, Xu XF, Jin X, Zhang Y, Xu Q, Ding HX, Li BJ, Du FK, Li LC, Zhong MW, Zhu JK, Zhang GY
World journal of gastroenterology 2024 Feb 7;30(5):485-498
World journal of gastroenterology 2024 Feb 7;30(5):485-498
δ-Tocotrienol preconditioning improves the capability of bone marrow-derived mesenchymal stem cells in promoting wound healing by inhibiting BACH1-related ferroptosis.
He X, Wang D, Yi Y, Tan Y, Wu M, Wang H, Hu W, Chen H, Zhang Q, Wu Y
Cell death discovery 2023 Sep 22;9(1):349
Cell death discovery 2023 Sep 22;9(1):349
Lnc AC016727.1/BACH1/HIF-1 α signal loop promotes the progression of non-small cell lung cancer.
Zhang L, Liang J, Qin H, Lv Y, Liu X, Li Z, Chao Z, Jia C, Qin X, Zhang H
Journal of experimental & clinical cancer research : CR 2023 Nov 10;42(1):296
Journal of experimental & clinical cancer research : CR 2023 Nov 10;42(1):296
BACH1 deficiency prevents neointima formation and maintains the differentiated phenotype of vascular smooth muscle cells by regulating chromatin accessibility.
Guo J, Qiu J, Jia M, Li Q, Wei X, Li L, Pan Q, Jin J, Ge F, Ma S, He Y, Lin J, Li Y, Ma J, Jiang N, Zhi X, Jiang L, Zhang J, Osto E, Jing Q, Wang X, Meng D
Nucleic acids research 2023 May 22;51(9):4284-4301
Nucleic acids research 2023 May 22;51(9):4284-4301
Bach1 modulates AKT3 transcription to participate in hyperglycaemia-mediated EndMT in vascular endothelial cells.
Meng Z, Shen W, Yu L, Tong F, He H, Hu Y, Wu W, Liu J
Clinical and experimental pharmacology & physiology 2023 Jun;50(6):443-452
Clinical and experimental pharmacology & physiology 2023 Jun;50(6):443-452
BACH1 promotes intervertebral disc degeneration by regulating HMOX1/GPX4 to mediate oxidative stress, ferroptosis, and lipid metabolism in nucleus pulposus cells.
Yao B, Cai Y, Wan L, Deng J, Zhao L, Wang W, Han Z
The journal of gene medicine 2023 Jun;25(6):e3488
The journal of gene medicine 2023 Jun;25(6):e3488
Hyperforin Enhances Heme Oxygenase-1 Expression Triggering Lipid Peroxidation in BRAF-Mutated Melanoma Cells and Hampers the Expression of Pro-Metastatic Markers.
Cardile A, Passarini C, Zanrè V, Fiore A, Menegazzi M
Antioxidants (Basel, Switzerland) 2023 Jun 30;12(7)
Antioxidants (Basel, Switzerland) 2023 Jun 30;12(7)
Regulation of DNA damage response by trimeric G-proteins.
Abd El-Hafeez AA, Sun N, Chakraborty A, Ear J, Roy S, Chamarthi P, Rajapakse N, Das S, Luker KE, Hazra TK, Luker GD, Ghosh P
iScience 2023 Feb 17;26(2):105973
iScience 2023 Feb 17;26(2):105973
The tRNA-GCN2-FBXO22-axis-mediated mTOR ubiquitination senses amino acid insufficiency.
Ge MK, Zhang C, Zhang N, He P, Cai HY, Li S, Wu S, Chu XL, Zhang YX, Ma HM, Xia L, Yang S, Yu JX, Yao SY, Zhou XL, Su B, Chen GQ, Shen SM
Cell metabolism 2023 Dec 5;35(12):2216-2230.e8
Cell metabolism 2023 Dec 5;35(12):2216-2230.e8
BACH1 controls hepatic insulin signaling and glucose homeostasis in mice.
Jin J, He Y, Guo J, Pan Q, Wei X, Xu C, Qi Z, Li Q, Ma S, Lin J, Jiang N, Ma J, Wang X, Jiang L, Ding Q, Osto E, Zhi X, Meng D
Nature communications 2023 Dec 21;14(1):8428
Nature communications 2023 Dec 21;14(1):8428
Protective effect of tin chloride on rhabdomyolysis-induced acute kidney injury in rats.
Ohtani S, Shimizu H, Yamaoka M, Takahashi T, Omori E, Morimatsu H
PloS one 2022;17(3):e0265512
PloS one 2022;17(3):e0265512
The MBNL1/circNTRK2/PAX5 pathway regulates aerobic glycolysis in glioblastoma cells by encoding a novel protein NTRK2-243aa.
Zhao Y, Song J, Dong W, Liu X, Yang C, Wang D, Xue Y, Ruan X, Liu L, Wang P, Zhang M, Liu Y
Cell death & disease 2022 Sep 5;13(9):767
Cell death & disease 2022 Sep 5;13(9):767
Glucose Increases Hepatic Mitochondrial Antioxidant Enzyme Activities in Insulin Resistant Rats Following Chronic Angiotensin Receptor Blockade.
Godoy-Lugo JA, Thorwald MA, Mendez DA, Rodriguez R, Nakano D, Nishiyama A, Ortiz RM
International journal of molecular sciences 2022 Sep 17;23(18)
International journal of molecular sciences 2022 Sep 17;23(18)
BACH1 regulates the proliferation and odontoblastic differentiation of human dental pulp stem cells.
Liu C, Yu J, Liu B, Liu M, Song G, Zhu L, Peng B
BMC oral health 2022 Nov 24;22(1):536
BMC oral health 2022 Nov 24;22(1):536
MEF2D-NR4A1-FAM134B2-mediated reticulophagy contributes to amino acid homeostasis.
Shiozaki Y, Miyazaki-Anzai S, Keenan AL, Miyazaki M
Autophagy 2022 May;18(5):1049-1061
Autophagy 2022 May;18(5):1049-1061
The SETD8/ELK1/bach1 complex regulates hyperglycaemia-mediated EndMT in diabetic nephropathy.
Li X, Lu L, Hou W, Wang F, Huang T, Meng Z, Zhu M
Journal of translational medicine 2022 Mar 29;20(1):147
Journal of translational medicine 2022 Mar 29;20(1):147
Interplay of Nrf2 and BACH1 in inducing ferroportin expression and enhancing resistance of human macrophages towards ferroptosis.
Namgaladze D, Fuhrmann DC, Brüne B
Cell death discovery 2022 Jul 19;8(1):327
Cell death discovery 2022 Jul 19;8(1):327
G-quadruplexes sense natural porphyrin metabolites for regulation of gene transcription and chromatin landscapes.
Li C, Yin Z, Xiao R, Huang B, Cui Y, Wang H, Xiang Y, Wang L, Lei L, Ye J, Li T, Zhong Y, Guo F, Xia Y, Fang P, Liang K
Genome biology 2022 Dec 15;23(1):259
Genome biology 2022 Dec 15;23(1):259
Single-Cell Analysis Identify Transcription Factor BACH1 as a Master Regulator Gene in Vascular Cells During Aging.
Ge F, Pan Q, Qin Y, Jia M, Ruan C, Wei X, Jing Q, Zhi X, Wang X, Jiang L, Osto E, Guo J, Meng D
Frontiers in cell and developmental biology 2021;9:786496
Frontiers in cell and developmental biology 2021;9:786496
MicroRNA-30c-5p protects against myocardial ischemia/reperfusion injury via regulation of Bach1/Nrf2.
Sun M, Guo M, Ma G, Zhang N, Pan F, Fan X, Wang R
Toxicology and applied pharmacology 2021 Sep 1;426:115637
Toxicology and applied pharmacology 2021 Sep 1;426:115637
PTEN deficiency facilitates the therapeutic vulnerability to proteasome inhibitor bortezomib in gallbladder cancer.
Jiang TY, Feng XF, Fang Z, Cui XW, Lin YK, Pan YF, Yang C, Ding ZW, Zhang YJ, Tan YX, Wang HY, Dong LW
Cancer letters 2021 Mar 31;501:187-199
Cancer letters 2021 Mar 31;501:187-199
Role of the Transcription Factor BTB and CNC Homology 1 in a Rat Model of Acute Liver Injury Induced by Experimental Endotoxemia.
Tanioka N, Shimizu H, Omori E, Takahashi T, Yamaoka M, Morimatsu H
Acta medica Okayama 2021 Jun;75(3):363-372
Acta medica Okayama 2021 Jun;75(3):363-372
Defective BACH1/HO-1 regulatory circuits in cystic fibrosis bronchial epithelial cells.
Chillappagari S, Garapati V, Mahavadi P, Naehrlich L, Schmeck BT, Schmitz ML, Guenther A
Journal of cystic fibrosis : official journal of the European Cystic Fibrosis Society 2021 Jan;20(1):140-148
Journal of cystic fibrosis : official journal of the European Cystic Fibrosis Society 2021 Jan;20(1):140-148
Heme oxygenase-1 induction by heat shock in rat hepatoma cell line is regulated by the coordinated function of HSF1, NRF2 and BACH1.
Akagi R, Kubo T, Hatori Y, Miyamoto T, Inouye S
Journal of biochemistry 2021 Dec 4;170(4):501-510
Journal of biochemistry 2021 Dec 4;170(4):501-510
PTEN status determines chemosensitivity to proteasome inhibition in cholangiocarcinoma.
Jiang TY, Pan YF, Wan ZH, Lin YK, Zhu B, Yuan ZG, Ma YH, Shi YY, Zeng TM, Dong LW, Tan YX, Wang HY
Science translational medicine 2020 Sep 23;12(562)
Science translational medicine 2020 Sep 23;12(562)
Enterovirus 71 induces neural cell apoptosis and autophagy through promoting ACOX1 downregulation and ROS generation.
You L, Chen J, Liu W, Xiang Q, Luo Z, Wang W, Xu W, Wu K, Zhang Q, Liu Y, Wu J
Virulence 2020 Dec;11(1):537-553
Virulence 2020 Dec;11(1):537-553
Astragaloside IV Regulates the PI3K/Akt/HO-1 Signaling Pathway and Inhibits H9c2 Cardiomyocyte Injury Induced by Hypoxia-Reoxygenation.
Yang P, Zhou Y, Xia Q, Yao L, Chang X
Biological & pharmaceutical bulletin 2019 May 1;42(5):721-727
Biological & pharmaceutical bulletin 2019 May 1;42(5):721-727
S-1-Propenylcysteine augments BACH1 degradation and heme oxygenase 1 expression in a nitric oxide-dependent manner in endothelial cells.
Tsuneyoshi T, Kunimura K, Morihara N
Nitric oxide : biology and chemistry 2019 Mar 1;84:22-29
Nitric oxide : biology and chemistry 2019 Mar 1;84:22-29
microRNA 155 up regulation in the CNS is strongly correlated to Down's syndrome dementia.
Tili E, Mezache L, Michaille JJ, Amann V, Williams J, Vandiver P, Quinonez M, Fadda P, Mikhail A, Nuovo G
Annals of diagnostic pathology 2018 Jun;34:103-109
Annals of diagnostic pathology 2018 Jun;34:103-109
Dynamic changes in Bach1 expression in the kidney of rhabdomyolysis-associated acute kidney injury.
Yamaoka M, Shimizu H, Takahashi T, Omori E, Morimatsu H
PloS one 2017;12(7):e0180934
PloS one 2017;12(7):e0180934
The electrophilic character of quinones is essential for the suppression of Bach1.
Su C, Liu Z, Wang Y, Wang Y, Song E, Song Y
Toxicology 2017 Jul 15;387:17-26
Toxicology 2017 Jul 15;387:17-26
Tetrachlorobenzoquinone induces Nrf2 activation via rapid Bach1 nuclear export/ubiquitination and JNK-P62 signaling.
Su C, Shi Q, Song X, Fu J, Liu Z, Wang Y, Wang Y, Xia X, Song E, Song Y
Toxicology 2016 Jul 1;363-364:48-57
Toxicology 2016 Jul 1;363-364:48-57
Zinc Protoporphyrin Upregulates Heme Oxygenase-1 in PC-3 Cells via the Stress Response Pathway.
Kwok SC
International journal of cell biology 2013;2013:162094
International journal of cell biology 2013;2013:162094
No comments: Submit comment
Supportive validation
- Submitted by
- Proteintech Group (provider)
- Main image

- Experimental details
- HEK-293 cells were subjected to SDS PAGE followed by western blot with 14018-1-AP(BACH1 antibody) at dilution of 1:1000
- Sample type
- cell line
Supportive validation
- Submitted by
- Proteintech Group (provider)
- Main image

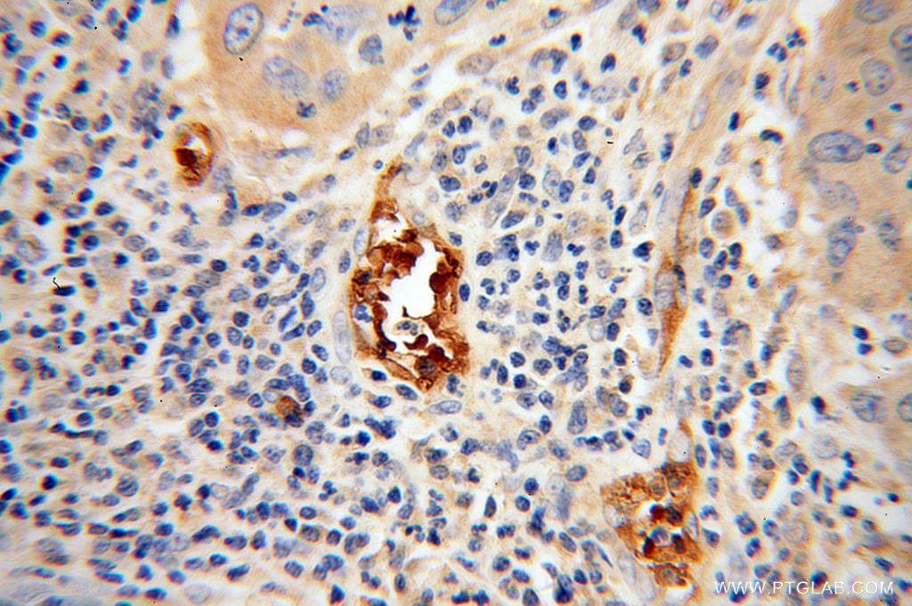
- Experimental details
- Immunohistochemical of paraffin-embedded human cervical cancer using 14018-1-AP(BACH1 antibody) at dilution of 1:100 (under 10x lens)
- Sample type
- tissue
- Submitted by
- Proteintech Group (provider)
- Main image

- Experimental details
- The BACH1 antibody from Proteintech is a rabbit polyclonal antibody to a recombinant protein of human BACH1. This antibody recognizes human,mouse,rat antigen. The BACH1 antibody has been validated for the following applications: ELISA, IHC, WB analysis.