Antibody data
- Antibody Data
- Antigen structure
- References [0]
- Comments [0]
- Validations
- Western blot [1]
- Immunohistochemistry [2]
- Flow cytometry [1]
Submit
Validation data
Reference
Comment
Report error
- Product number
- TA504484 - Provider product page

- Provider
- OriGene
- Proper citation
- OriGene Cat#TA504484, RRID:AB_2622448
- Product name
- BACH1 mouse monoclonal antibody, clone OTI4E11 (formerly 4E11)
- Antibody type
- Monoclonal
- Description
- BACH1 mouse monoclonal antibody, clone OTI4E11 (formerly 4E11)
- Host
- Mouse
- Conjugate
- Unconjugated
- Epitope
- BACH1
- Isotype
- IgG
- Antibody clone number
- OTI4E11
- Vial size
- 100 µl
- Concentration
- 1.00mg/ml
No comments: Submit comment
Supportive validation
- Submitted by
- OriGene (provider)
- Main image

- Experimental details
- HEK293T cells were transfected with the pCMV6-ENTRY control (Left lane) or pCMV6-ENTRY BACH1 (RC221628, Right lane) cDNA for 48 hrs and lysed. Equivalent amounts of cell lysates (5 ug per lane) were separated by SDS-PAGE and immunoblotted with anti-BACH1.
- Validation comment
- WB
Supportive validation
- Submitted by
- OriGene (provider)
- Main image

- Experimental details
- Immunohistochemical staining of paraffin-embedded Carcinoma of Human bladder tissue using anti-BACH1 mouse monoclonal antibody. (Heat-induced epitope retrieval by 10mM citric buffer, pH6.0, 100C for 10min, TA504484)
- Validation comment
- IHC
- Submitted by
- OriGene (provider)
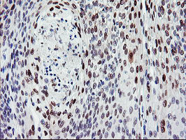
- Main image

- Experimental details
- Immunohistochemical staining of paraffin-embedded Human tonsil within the normal limits using anti-BACH1 mouse monoclonal antibody. (Heat-induced epitope retrieval by 10mM citric buffer, pH6.0, 100C for 10min, TA504484)
- Validation comment
- IHC
Supportive validation
- Submitted by
- OriGene (provider)
- Main image

- Experimental details
- HEK293T cells transfected with either RC221628 overexpress plasmid(Red) or empty vector control plasmid(Blue) were immunostained by anti-BACH1 antibody(TA504484), and then analyzed by flow cytometry.
- Validation comment
- FC