Antibody data
- Antibody Data
- Antigen structure
- References [0]
- Comments [0]
- Validations
- Immunohistochemistry [1]
- Blocking/Neutralizing [1]
Submit
Validation data
Reference
Comment
Report error
- Product number
- LS-B1800 - Provider product page

- Provider
- LSBio
- Proper citation
- LifeSpan Cat#LS-B1800, RRID:AB_2105151
- Product name
- PathPlus™ FOXC1 Antibody (aa250-300) LS-B1800
- Antibody type
- Polyclonal
- Description
- Antiserum
- Reactivity
- Human, Mouse, Rat, Bovine, Simian
- Host
- Rabbit
- Storage
- Short term: store at 4°C. Long term: aliquot and store at -20°C. Avoid freeze-thaw cycles.
No comments: Submit comment
Supportive validation
- Submitted by
- LSBio (provider)
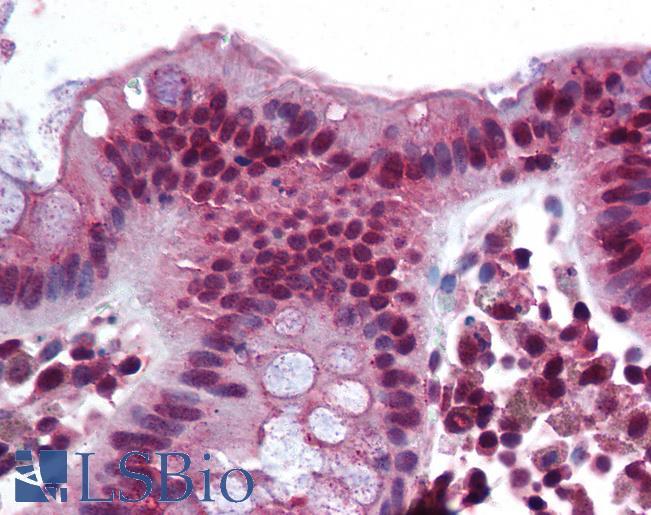
- Main image

- Experimental details
- Anti-FOXC1 antibody IHC of human colon. Immunohistochemistry of formalin-fixed, paraffin-embedded tissue after heat-induced antigen retrieval. Antibody dilution 1:200.
Supportive validation
- Submitted by
- LSBio (provider)
- Main image

- Experimental details
- Western blot of human FOXC1 in humanuliver lysate in the 1) absence, 2) presence of immunizing peptide using antibody at 1:1000 dilution.?