Antibody data
- Antibody Data
- Antigen structure
- References [0]
- Comments [0]
- Validations
- Western blot [2]
- Immunohistochemistry [24]
Submit
Validation data
Reference
Comment
Report error
- Product number
- LS-C172827 - Provider product page

- Provider
- LSBio
- Product name
- DSTN / Destrin Antibody (clone OTI1D8) LS-C172827
- Antibody type
- Monoclonal
- Description
- Protein A/G purified
- Reactivity
- Human, Canine, Simian
- Host
- Mouse
- Isotype
- IgG
- Antibody clone number
- OTI1D8
- Storage
- Store at -20°C. Avoid freeze-thaw cycles.
No comments: Submit comment
Enhanced validation
- Submitted by
- LSBio (provider)
- Enhanced method
- Genetic validation
- Main image

- Experimental details
- HEK293T cells were transfected with the pCMV6-ENTRY control (Left lane) or pCMV6-ENTRY DSTN (Right lane) cDNA for 48 hrs and lysed. Equivalent amounts of cell lysates (5 ug per lane) were separated by SDS-PAGE and immunoblotted with anti-DSTN.
- Submitted by
- LSBio (provider)
- Enhanced method
- Genetic validation
- Main image

- Experimental details
- Western blot of extracts (35 ug) from 9 different cell lines by using anti-DSTN monoclonal antibody.
Enhanced validation
- Submitted by
- LSBio (provider)
- Enhanced method
- Genetic validation
- Main image

- Experimental details
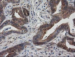
- IHC of paraffin-embedded Adenocarcinoma of Human colon tissue using anti-DSTN mouse monoclonal antibody.
- Submitted by
- LSBio (provider)
- Enhanced method
- Genetic validation
- Main image

- Experimental details
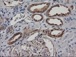
- IHC of paraffin-embedded Human Kidney tissue using anti-DSTN mouse monoclonal antibody.
- Submitted by
- LSBio (provider)
- Enhanced method
- Genetic validation
- Main image

- Experimental details
- IHC of paraffin-embedded Human pancreas tissue using anti-DSTN mouse monoclonal antibody.
- Submitted by
- LSBio (provider)
- Enhanced method
- Genetic validation
- Main image

- Experimental details
- IHC of paraffin-embedded Carcinoma of Human thyroid tissue using anti-DSTN mouse monoclonal antibody.
- Submitted by
- LSBio (provider)
- Enhanced method
- Genetic validation
- Main image

- Experimental details
- IHC of paraffin-embedded Human endometrium tissue using anti-DSTN mouse monoclonal antibody.
- Submitted by
- LSBio (provider)
- Enhanced method
- Genetic validation
- Main image

- Experimental details
- IHC of paraffin-embedded Carcinoma of Human prostate tissue using anti-DSTN mouse monoclonal antibody.
- Submitted by
- LSBio (provider)
- Enhanced method
- Genetic validation
- Main image

- Experimental details
- IHC of paraffin-embedded Carcinoma of Human bladder tissue using anti-DSTN mouse monoclonal antibody.
- Submitted by
- LSBio (provider)
- Enhanced method
- Genetic validation
- Main image

- Experimental details
- IHC of paraffin-embedded Adenocarcinoma of Human colon tissue using anti-DSTN mouse monoclonal antibody.
- Submitted by
- LSBio (provider)
- Enhanced method
- Genetic validation
- Main image

- Experimental details
- IHC of paraffin-embedded Human Kidney tissue using anti-DSTN mouse monoclonal antibody.
- Submitted by
- LSBio (provider)
- Enhanced method
- Genetic validation
- Main image

- Experimental details
- IHC of paraffin-embedded Carcinoma of Human lung tissue using anti-DSTN mouse monoclonal antibody.
- Submitted by
- LSBio (provider)
- Enhanced method
- Genetic validation
- Main image

- Experimental details
- IHC of paraffin-embedded Human pancreas tissue using anti-DSTN mouse monoclonal antibody.
- Submitted by
- LSBio (provider)
- Enhanced method
- Genetic validation
- Main image

- Experimental details
- IHC of paraffin-embedded Carcinoma of Human thyroid tissue using anti-DSTN mouse monoclonal antibody.
- Submitted by
- LSBio (provider)
- Enhanced method
- Genetic validation
- Main image

- Experimental details
- IHC of paraffin-embedded Human prostate tissue using anti-DSTN mouse monoclonal antibody.
- Submitted by
- LSBio (provider)
- Enhanced method
- Genetic validation
- Main image

- Experimental details
- IHC of paraffin-embedded Adenocarcinoma of Human breast tissue using anti-DSTN mouse monoclonal antibody.
- Submitted by
- LSBio (provider)
- Main image

- Experimental details
- IHC of paraffin-embedded Adenocarcinoma of Human breast tissue using anti-DSTN mouse monoclonal antibody.
- Submitted by
- LSBio (provider)
- Main image

- Experimental details
- IHC of paraffin-embedded Adenocarcinoma of Human colon tissue using anti-DSTN mouse monoclonal antibody.
- Submitted by
- LSBio (provider)
- Main image

- Experimental details
- IHC of paraffin-embedded Human Kidney tissue using anti-DSTN mouse monoclonal antibody.
- Submitted by
- LSBio (provider)
- Main image

- Experimental details
- IHC of paraffin-embedded Carcinoma of Human lung tissue using anti-DSTN mouse monoclonal antibody.
- Submitted by
- LSBio (provider)
- Main image

- Experimental details
- IHC of paraffin-embedded Human pancreas tissue using anti-DSTN mouse monoclonal antibody.
- Submitted by
- LSBio (provider)
- Main image

- Experimental details
- IHC of paraffin-embedded Carcinoma of Human thyroid tissue using anti-DSTN mouse monoclonal antibody.
- Submitted by
- LSBio (provider)
- Main image

- Experimental details
- IHC of paraffin-embedded Human endometrium tissue using anti-DSTN mouse monoclonal antibody.
- Submitted by
- LSBio (provider)
- Main image

- Experimental details
- IHC of paraffin-embedded Human prostate tissue using anti-DSTN mouse monoclonal antibody.
- Submitted by
- LSBio (provider)
- Main image

- Experimental details
- IHC of paraffin-embedded Carcinoma of Human prostate tissue using anti-DSTN mouse monoclonal antibody.
- Submitted by
- LSBio (provider)
- Main image

- Experimental details
- IHC of paraffin-embedded Carcinoma of Human bladder tissue using anti-DSTN mouse monoclonal antibody.