Antibody data
- Antibody Data
- Antigen structure
- References [0]
- Comments [0]
- Validations
- Immunocytochemistry [2]
- Immunohistochemistry [1]
Submit
Validation data
Reference
Comment
Report error
- Product number
- PA5-53509 - Provider product page

- Provider
- Invitrogen Antibodies
- Product name
- CTIF Polyclonal Antibody
- Antibody type
- Polyclonal
- Antigen
- Recombinant protein fragment
- Description
- Immunogen sequence: TFDSFSGATW DLQPEKLDFT QFHRKVRHTP KQPLPHIDRE GCGKGKLEDG DGINLNDIEK VLPAWQGYHP MPHEVEIAHT KKLFR Highest antigen sequence identity to the following orthologs: Mouse - 96%, Rat - 94%.
- Reactivity
- Human
- Host
- Rabbit
- Isotype
- IgG
- Vial size
- 100 μL
- Concentration
- 0.1 mg/mL
- Storage
- Store at 4°C short term. For long term storage, store at -20°C, avoiding freeze/thaw cycles.
No comments: Submit comment
Supportive validation
- Submitted by
- Invitrogen Antibodies (provider)
- Main image

- Experimental details
- Immunofluorescent staining of CTIF in human cell line U-2 OS shows positivity in cytoplasm. Samples were probed using a CTIF Polyclonal Antibody (Product # PA5-53509).
- Submitted by
- Invitrogen Antibodies (provider)
- Main image

- Experimental details
- Immunofluorecent analysis of CTIF in human cell line U-2 OS using CTIF Polyclonal Antibody (Product # PA5-53509). Staining shows localization to cytosol.
Supportive validation
- Submitted by
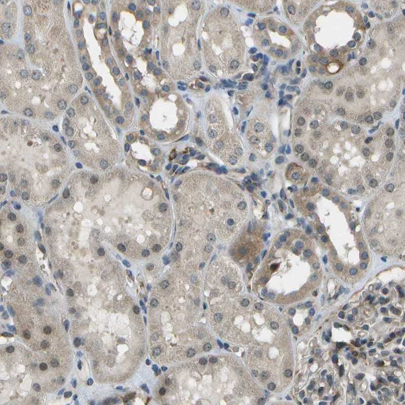
- Invitrogen Antibodies (provider)
- Main image

- Experimental details
- Immunohistochemical staining of CTIF in human kidney using a CTIF Polyclonal Antibody (Product # PA5-53509) shows cytoplasmic positivity in cells in tubules.