Antibody data
- Antibody Data
- Antigen structure
- References [0]
- Comments [0]
- Validations
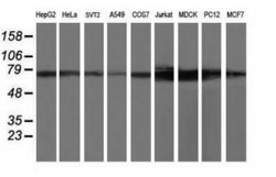
- Western blot [1]
- Immunohistochemistry [1]
- Flow cytometry [2]
Submit
Validation data
Reference
Comment
Report error
- Product number
- ABIN2672827 - Provider product page

- Provider
- antibodies-online
- Product name
- anti-serpin Peptidase Inhibitor, Clade B (Ovalbumin), Member 1 (SERPINB1) (AA 77-306) antibody
- Antibody type
- Monoclonal
- Antigen
- Human recombinant protein fragment corresponding to amino acids 77-306 of human SERPINB1 (NP_109591) produced in E.coli.
- Description
- Purified from mouse ascites fluids by affinity chromatography
- Reactivity
- Human, Canine, Simian
- Host
- Mouse
- Epitope
- AA 77-306
- Isotype
- IgG
- Antibody clone number
- OTI2D11
- Vial size
- 100 μL
No comments: Submit comment
Supportive validation
- Submitted by
- antibodies-online (provider)
- Main image

- Experimental details
- Image(s): Western Blotting
Supportive validation
- Submitted by
- antibodies-online (provider)
- Main image

- Experimental details
- Image(s): Immunohistochemistry
Supportive validation
- Submitted by
- antibodies-online (provider)
- Main image

- Experimental details
- Image(s): Flow cytometry
- Submitted by
- antibodies-online (provider)
- Main image

- Experimental details
- Image(s): Flow cytometry