Antibody data
- Antibody Data
- Antigen structure
- References [0]
- Comments [0]
- Validations
- Western blot [1]
- Immunohistochemistry [2]
Submit
Validation data
Reference
Comment
Report error
- Product number
- GTX54018 - Provider product page

- Provider
- GeneTex
- Product name
- RAI16 antibody
- Antibody type
- Polyclonal
- Reactivity
- Mouse
- Host
- Rabbit
No comments: Submit comment
Supportive validation
- Submitted by
- GeneTex (provider)
- Main image

- Experimental details
- WB analysis of recombinant protein using RAI16 antibody.
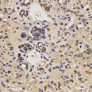
Supportive validation
- Submitted by
- GeneTex (provider)
- Main image

- Experimental details
- IHC-P analysis of mouse liver fibrosis tissue using RAI16 antibody at a dilution of 1:200.
- Submitted by
- GeneTex (provider)
- Main image

- Experimental details
- IHC-P analysis of mouse heart tissue using RAI16 antibody at a dilution of 1:200.