Antibody data
- Antibody Data
- Antigen structure
- References [0]
- Comments [0]
- Validations
- Immunohistochemistry [1]
Submit
Validation data
Reference
Comment
Report error
- Product number
- A02960-1 - Provider product page

- Provider
- Boster Biological Technology
- Product name
- Anti-ChemR23 (R249) CMKLR1 Antibody
- Antibody type
- Polyclonal
- Description
- Anti-ChemR23 (R249) CMKLR1 Antibody validated for IHC, IF . Reactive to Human, Mouse, Rat.
- Reactivity
- Human, Mouse, Rat
- Host
- Rabbit
- Vial size
- 100ul
- Storage
- At -20°C for one year. At 4°C for one month. It can also be aliquoted and stored frozen at -20°C for a longer time. Avoid repeated freezing and thawing.
No comments: Submit comment
Supportive validation
- Submitted by
- Boster Biological Technology (provider)
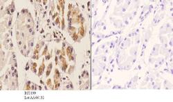
- Main image

- Experimental details
- Immunohistochemistry validation of CMKLR1 using Anti-ChemR23 (R249) CMKLR1 Antibody (A02960-1). Immunohistochemistry (IHC) analyzes of ChemR23 (R249) pAb in paraffin-embedded human kidney carcinoma tissue at 1:50.showing cytoplasmic and nucleus staining. Negative control (the right)Using PBS instead of primary antibody
- Additional image
