Antibody data
- Antibody Data
- Antigen structure
- References [2]
- Comments [0]
- Validations
- Western blot [1]
- Immunohistochemistry [1]
Submit
Validation data
Reference
Comment
Report error
- Product number
- GTX89661 - Provider product page

- Provider
- GeneTex
- Proper citation
- GeneTex Cat#GTX89661, RRID:AB_10725130
- Product name
- LXR beta antibody, N-term
- Antibody type
- Polyclonal
- Reactivity
- Human
- Host
- Goat
Submitted references Antiproliferative effects and mechanisms of liver X receptor ligands in pancreatic ductal adenocarcinoma cells.
Liver X receptor β protects dopaminergic neurons in a mouse model of Parkinson disease.
Candelaria NR, Addanki S, Zheng J, Nguyen-Vu T, Karaboga H, Dey P, Gabbi C, Vedin LL, Liu K, Wu W, Jonsson PK, Lin JZ, Su F, Bollu LR, Hodges SE, McElhany AL, Issazadeh MA, Fisher WE, Ittmann MM, Steffensen KR, Gustafsson JÅ, Lin CY
PloS one 2014;9(9):e106289
PloS one 2014;9(9):e106289
Liver X receptor β protects dopaminergic neurons in a mouse model of Parkinson disease.
Dai YB, Tan XJ, Wu WF, Warner M, Gustafsson JÅ
Proceedings of the National Academy of Sciences of the United States of America 2012 Aug 7;109(32):13112-7
Proceedings of the National Academy of Sciences of the United States of America 2012 Aug 7;109(32):13112-7
No comments: Submit comment
Supportive validation
- Submitted by
- GeneTex (provider)
- Main image

- Experimental details
- GTX89661 (1?g/ml) staining of human bone marrow lysate (35?g protein in RIPA buffer). Primary incubation was 1 hour. Detected by chemiluminescence.
Supportive validation
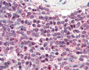
- Submitted by
- GeneTex (provider)
- Main image

- Experimental details
- GTX89661 (3?g/ml) staining of paraffin embedded Human Spleen. Steamed antigen retrieval with citrate buffer pH 6, AP-staining.