Antibody data
- Antibody Data
- Antigen structure
- References [0]
- Comments [0]
- Validations
- Western blot [1]
- Immunohistochemistry [1]
Submit
Validation data
Reference
Comment
Report error
- Product number
- NB100-74655 - Provider product page

- Provider
- Novus Biologicals
- Proper citation
- Novus Cat#NB100-74655, RRID:AB_1050105
- Product name
- Rabbit Polyclonal ZNF295 Antibody
- Antibody type
- Polyclonal
- Description
- Immunogen affinity purified.
- Reactivity
- Human
- Host
- Rabbit
- Isotype
- IgG
- Vial size
- 100 ul
- Concentration
- 1.0 mg/ml
- Storage
- Store at 4C. Do not freeze.
No comments: Submit comment
Supportive validation
- Submitted by
- Novus Biologicals (provider)
- Main image

- Experimental details
- Western Blot: ZNF295 Antibody [NB100-74655] - Detection of Human ZNF295 by Western Blot of Immunoprecipitates. Samples: Whole cell lysate (1 mg for IP, 20% of IP loaded) from HeLa cells. Antibodies: Affinity purified rabbit anti-ZNF295 antibody NB100-74655 used for IP at 3 mcg/mg lysate. ZNF295 was also immunoprecipitated by rabbit anti-ZNF295 antibody NB100-74656, which recognizes a downstream epitope.
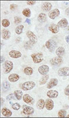
Supportive validation
- Submitted by
- Novus Biologicals (provider)
- Main image

- Experimental details
- Immunohistochemistry: ZNF295 Antibody [NB100-74655] - Sample: FFPE sections of human breast carcinoma. Antibody: Affinity purified rabbit anti-ZNF295 used at a dilution of 1:1,000 (1ug/ml) and 1:400 (2.5ug/ml).