Antibody data
- Antibody Data
- Antigen structure
- References [0]
- Comments [0]
- Validations
- Western blot [1]
- Immunocytochemistry [2]
- Immunohistochemistry [1]
- Flow cytometry [1]
Submit
Validation data
Reference
Comment
Report error
- Product number
- AX10005 - Provider product page

- Provider
- Abcepta
- Product name
- Vimentin Antibody
- Antibody type
- Polyclonal
- Antigen
- Synthetic peptide
- Description
- Peptide Affinity Purified Rabbit Polyclonal Antibody (Pab)
- Reactivity
- Human
- Host
- Rabbit
- Isotype
- IgG
- Vial size
- 400 µl
- Storage
- Maintain refrigerated at 2-8°C for up to 6 months. For long term storage store at -20°C in small aliquots to prevent freeze-thaw cycles.
No comments: Submit comment
Supportive validation
- Submitted by
- Abcepta (provider)
- Main image

- Experimental details
- "VIME Antibody (Cat. #AX10005) western blot analysis in Hela,U251,A549,MDA-MB231 cell line lysates (35ug/lane).This demonstrates the VIME antibody detected the VIME protein (arrow)."
- Primary Ab dilution
- 1:2000
Supportive validation
- Submitted by
- Abcepta (provider)
- Main image

- Experimental details
- Confocal immunofluorescent analysis of Vimentin Antibody with U251 cell followed by Alexa Fluor 488-conjugated goat anti-rabbit lgG (green). Actin filaments have been labeled with Alexa Fluor 555 phalloidin (red). DAPI was used to stain the cell nuclear (blue).
- Primary Ab dilution
- 1:50
- Submitted by
- Abcepta (provider)
- Main image

- Experimental details
- Confocal immunofluorescent analysis of Vimentin Antibody with A549 cell followed by Alexa Fluor 488-conjugated goat anti-rabbit lgG (green). Actin filaments have been labeled with Alexa Fluor 555 phalloidin (red). DAPI was used to stain the cell nuclear (blue).
- Primary Ab dilution
- 1:50
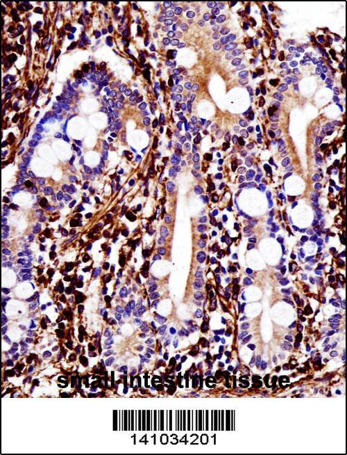
Supportive validation
- Submitted by
- Abcepta (provider)
- Main image

- Experimental details
- Vimentin Antibody immunohistochemistry analysis in formalin fixed and paraffin embedded human small intestine tissue followed by peroxidase conjugation of the secondary antibody and DAB staining.This data demonstrates the use of Vimentin Antibody for immunohistochemistry. Clinical relevance has not been evaluated.
- Primary Ab dilution
- 1:50
Supportive validation
- Submitted by
- Abcepta (provider)
- Main image

- Experimental details
- Vimentin Antibody flow cytometric analysis of A549 cells (right histogram) compared to a negative control cell (left histogram).Alexa Fluor 488-conjugated donkey anti-rabbit lgG secondary antibodies were used for the analysis.
- Primary Ab dilution
- 1:50