Antibody data
- Antibody Data
- Antigen structure
- References [0]
- Comments [0]
- Validations
- Immunocytochemistry [1]
- Immunohistochemistry [3]
Submit
Validation data
Reference
Comment
Report error
- Product number
- GTX22737 - Provider product page

- Provider
- GeneTex
- Proper citation
- GeneTex Cat#GTX22737, RRID:AB_378982
- Product name
- LAP1 antibody [RL13]
- Antibody type
- Monoclonal
- Reactivity
- Human, Mouse, Rat
- Host
- Mouse
- Storage
- Keep as concentrated solution. Aliquot and store at -20°C or below. Avoid multiple freeze-thaw cycles.
No comments: Submit comment
Supportive validation
- Submitted by
- GeneTex (provider)
- Main image

- Experimental details
- Immunofluorescent analysis of LAP1 using anti-LAP1 monoclonal antibody (GTX22737) shows staining in NS-1 Cells.
Supportive validation
- Submitted by
- GeneTex (provider)
- Main image

- Experimental details
- Immunohistochemistry was performed on rat breast tissue. To expose target protein, antigen was retreived using 10mM sodium citrate followed by microwave treatment for 8-15 minutes. Endogenous peroxidases were blocked in 3% H202-methanol for 15 minutes and tissues were blocked in 3% BSA-PBS for 30 minutes at room temperature. Cells were probed with a LAP1 mouse monoclonal antibody (GTX22737) at a dilution of 1:50 overnight in a humidified chamber. Tissues were washed in PBST and detection was performed using a secondary antibody conjμgated to HRP. DAB staining buffer was applied and tissues were counterstained with hematoxylin and prepped for mounting.
- Submitted by
- GeneTex (provider)
- Main image

- Experimental details
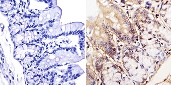
- Immunohistochemistry was performed on rat colon tissue. To expose target protein, antigen was retreived using 10mM sodium citrate followed by microwave treatment for 8-15 minutes. Endogenous peroxidases were blocked in 3% H202-methanol for 15 minutes and tissues were blocked in 3% BSA-PBS for 30 minutes at room temperature. Cells were probed with a LAP1 mouse monoclonal antibody (GTX22737) at a dilution of 1:20 overnight in a humidified chamber. Tissues were washed in PBST and detection was performed using a secondary antibody conjμgated to HRP. DAB staining buffer was applied and tissues were counterstained with hematoxylin and prepped for mounting.
- Submitted by
- GeneTex (provider)
- Main image

- Experimental details
- Immunohistochemistry was performed on rat lymph node tissue. To expose target protein, antigen was retreived using 10mM sodium citrate followed by microwave treatment for 8-15 minutes. Endogenous peroxidases were blocked in 3% H202-methanol for 15 minutes and tissues were blocked in 3% BSA-PBS for 30 minutes at room temperature. Cells were probed with a LAP1 mouse monoclonal antibody (GTX22737) at a dilution of 1:50 overnight in a humidified chamber. Tissues were washed in PBST and detection was performed using a secondary antibody conjμgated to HRP. DAB staining buffer was applied and tissues were counterstained with hematoxylin and prepped for mounting.