Antibody data
- Antibody Data
- Antigen structure
- References [0]
- Comments [0]
- Validations
- Western blot [1]
- Immunocytochemistry [1]
- Immunohistochemistry [3]
- Flow cytometry [1]
Submit
Validation data
Reference
Comment
Report error
- Product number
- TA501741 - Provider product page

- Provider
- OriGene
- Proper citation
- OriGene Cat#TA501741, RRID:AB_11140726
- Product name
- Anti-RBBP9 mouse monoclonal antibody, clone OTI4G9 (formerly 4G9)
- Antibody type
- Monoclonal
- Description
- Anti-RBBP9 mouse monoclonal antibody, clone OTI4G9 (formerly 4G9)
- Host
- Mouse
- Conjugate
- Unconjugated
- Epitope
- RBBP9
- Isotype
- IgG
- Antibody clone number
- OTI4G9
- Vial size
- 100 µl
- Concentration
- 0.67 mg/ml
No comments: Submit comment
Supportive validation
- Submitted by
- OriGene (provider)
- Main image

- Experimental details
- HEK293T cells were transfected with the pCMV6-ENTRY control (Left lane) or pCMV6-ENTRY RBBP9 (RC202090, Right lane) cDNA for 48 hrs and lysed. Equivalent amounts of cell lysates (5 ug per lane) were separated by SDS-PAGE and immunoblotted with anti-RBBP9.
- Validation comment
- WB
Supportive validation
- Submitted by
- OriGene (provider)
- Main image

- Experimental details
- Anti-RBBP9 mouse monoclonal antibody (TA501741) immunofluorescent staining of COS7 cells transiently transfected by pCMV6-ENTRY RBBP9(RC202090).
- Validation comment
- IF
Supportive validation
- Submitted by
- OriGene (provider)
- Main image

- Experimental details
- Immunohistochemical staining of paraffin-embedded Human bladder tissue within the normal limits using anti-RBBP9 mouse monoclonal antibody. (Heat-induced epitope retrieval by 10mM citric buffer, pH6.0, 100C for 10min, TA501741, Dilution 1:50)
- Validation comment
- IHC
- Submitted by
- OriGene (provider)
- Main image

- Experimental details
- Immunohistochemical staining of paraffin-embedded Human pancreas tissue within the normal limits using anti-RBBP9 mouse monoclonal antibody. (Heat-induced epitope retrieval by 10mM citric buffer, pH6.0, 100C for 10min, TA501741, Dilution 1:50)
- Validation comment
- IHC
- Submitted by
- OriGene (provider)
- Main image

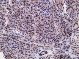
- Experimental details
- Immunohistochemical staining of paraffin-embedded Carcinoma of Human thyroid tissue using anti-RBBP9 mouse monoclonal antibody. (Heat-induced epitope retrieval by 10mM citric buffer, pH6.0, 100C for 10min, TA501741, Dilution 1:50)
- Validation comment
- IHC
Supportive validation
- Submitted by
- OriGene (provider)
- Main image

- Experimental details
- HEK293T cells transfected with either RC202090 overexpress plasmid(Red) or empty vector control plasmid(Blue) were immunostained by anti-RBBP9 antibody(TA501741), and then analyzed by flow cytometry.
- Validation comment
- FC