Antibody data
- Antibody Data
- Antigen structure
- References [0]
- Comments [0]
- Validations
- Western blot [1]
Submit
Validation data
Reference
Comment
Report error
- Product number
- OASA03100 - Provider product page

- Provider
- Aviva Systems Biology
- Proper citation
- Aviva Systems Biology Cat#OASA03100, RRID:AB_10886146
- Product name
- TPSAB1 Antibody
- Antibody type
- Monoclonal
- Reactivity
- Human
- Host
- Mouse
- Vial size
- 0.2mg
- Storage
- Store at +4°C or at -20°C if preferred. This product should be stored undiluted. Storage in frost free freezers is not recommended. Avoid repeated freezing and thawing as this may denature the antibody. Should this product contain a precipitate we recommend microcentrifugation before use.
No comments: Submit comment
Supportive validation
- Submitted by
- Aviva Systems Biology (provider)
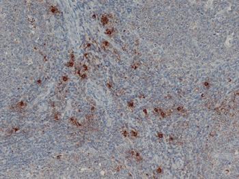
- Main image

- Experimental details
- Staining of human tonsil with Mouse anti Human Mast Cell Tryptase