Antibody data
- Antibody Data
- Antigen structure
- References [1]
- Comments [0]
- Validations
- Western blot [1]
- Immunohistochemistry [4]
Submit
Validation data
Reference
Comment
Report error
- Product number
- NBP1-85627 - Provider product page

- Provider
- Novus Biologicals
- Proper citation
- Novus Cat#NBP1-85627, RRID:AB_11016669
- Product name
- Rabbit Polyclonal FAM62B Antibody
- Antibody type
- Polyclonal
- Description
- Immunogen affinity purified. Specificity of human FAM62B antibody verified on a Protein Array containing target protein plus 383 other non-specific proteins.
- Reactivity
- Human
- Host
- Rabbit
- Isotype
- IgG
- Vial size
- 0.1 ml
- Storage
- Store at 4C short term. Aliquot and store at -20C long term. Avoid freeze-thaw cycles.
Submitted references Three-dimensional architecture of extended synaptotagmin-mediated endoplasmic reticulum-plasma membrane contact sites.
Fernández-Busnadiego R, Saheki Y, De Camilli P
Proceedings of the National Academy of Sciences of the United States of America 2015 Apr 21;112(16):E2004-13
Proceedings of the National Academy of Sciences of the United States of America 2015 Apr 21;112(16):E2004-13
No comments: Submit comment
Supportive validation
- Submitted by
- Novus Biologicals (provider)
- Main image

- Experimental details
- Western Blot: FAM62B Antibody [NBP1-85627] - Analysis in MCF-7 cells transfected with control siRNA, target specific siRNA probe #1, using Anti-ESYT2 antibody. Remaining relative intensity is presented. Loading control: Anti-GAPDH.
Supportive validation
- Submitted by
- Novus Biologicals (provider)
- Main image

- Experimental details
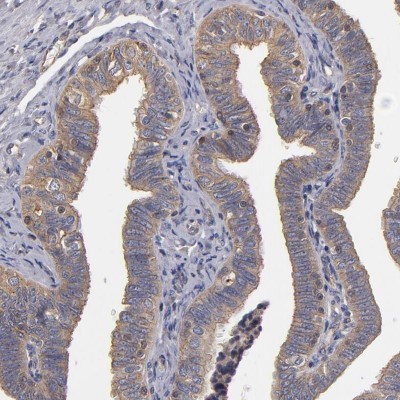
- Immunohistochemistry-Paraffin: FAM62B Antibody [NBP1-85627] - Staining of human fallopian tube shows weak cytoplasmic/membranous positivity in glandular cells.
- Submitted by
- Novus Biologicals (provider)
- Main image

- Experimental details
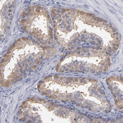
- Immunohistochemistry-Paraffin: FAM62B Antibody [NBP1-85627] - Staining of human prostate shows moderate cytoplasmic/membranous positivity in glandular cells.
- Submitted by
- Novus Biologicals (provider)
- Main image

- Experimental details
- Immunohistochemistry-Paraffin: FAM62B Antibody [NBP1-85627] - Staining of human liver shows no cytoplasmic positivity in hepatocytes as expected.
- Submitted by
- Novus Biologicals (provider)
- Main image

- Experimental details
- Immunohistochemistry-Paraffin: FAM62B Antibody [NBP1-85627] - Staining of human colon shows moderate cytoplasmic positivity in glandular cells.