Antibody data
- Antibody Data
- Antigen structure
- References [1]
- Comments [0]
- Validations
- Western blot [1]
- Immunohistochemistry [3]
Submit
Validation data
Reference
Comment
Report error
- Product number
- PA5-87880 - Provider product page

- Provider
- Invitrogen Antibodies
- Product name
- ZIP14 Polyclonal Antibody
- Antibody type
- Polyclonal
- Antigen
- Synthetic peptide
- Description
- Positive Samples: LO2, HeLa; Cellular Location: Cell membrane, Cell projection, Multi-pass membrane protein, lamellipodium Immunogen sequence: EENEQTEEGR PSAVE
- Reactivity
- Human, Mouse, Rat
- Host
- Rabbit
- Isotype
- IgG
- Vial size
- 100 μL
- Concentration
- 0.6 mg/mL
- Storage
- -20°C, Avoid Freeze/Thaw Cycles
Submitted references Human placental cell line HTR-8/SVneo accumulates cadmium by divalent metal transporters DMT1 and ZIP14.
Widhalm R, Ellinger I, Granitzer S, Forsthuber M, Bajtela R, Gelles K, Hartig PY, Hengstschläger M, Zeisler H, Salzer H, Gundacker C
Metallomics : integrated biometal science 2020 Nov 1;12(11):1822-1833
Metallomics : integrated biometal science 2020 Nov 1;12(11):1822-1833
No comments: Submit comment
Supportive validation
- Submitted by
- Invitrogen Antibodies (provider)
- Main image

- Experimental details
- Western blot analysis of ZIP14 in extracts of various cell lines. Samples were incubated with ZIP14 Polyclonal antibody (Product # PA5-87880) using a dilution of 1:1,000, followed by HRP Goat Anti-Rabbit IgG (H+L) at a dilution of 1:10,000. Lysates/proteins: 25 µg per lane. Blocking buffer: 3% nonfat dry milk in TBST. Detection: ECL Enhanced Kit. Exposure time: 60s.
Supportive validation
- Submitted by
- Invitrogen Antibodies (provider)
- Main image

- Experimental details
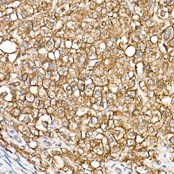
- Immunohistochemistry analysis of ZIP14 in paraffin-embedded human liver cancer. Samples were incubated with ZIP14 Polyclonal antibody (Product # PA5-87880) using a dilution of 1:100 (40x lens). Perform high pressure antigen retrieval with 10 mM citrate buffer pH 6.0 before commencing with IHC staining protocol.
- Submitted by
- Invitrogen Antibodies (provider)
- Main image

- Experimental details
- Immunohistochemistry analysis of ZIP14 in paraffin-embedded rat liver. Samples were incubated with ZIP14 Polyclonal antibody (Product # PA5-87880) using a dilution of 1:100 (40x lens). Perform high pressure antigen retrieval with 10 mM citrate buffer pH 6.0 before commencing with IHC staining protocol.
- Submitted by
- Invitrogen Antibodies (provider)
- Main image

- Experimental details
- Immunohistochemistry analysis of ZIP14 in paraffin-embedded rat liver. Samples were incubated with ZIP14 Polyclonal antibody (Product # PA5-87880) using a dilution of 1:100 (40x lens). Perform high pressure antigen retrieval with 10 mM citrate buffer pH 6.0 before commencing with IHC staining protocol.