Antibody data
- Antibody Data
- Antigen structure
- References [1]
- Comments [0]
- Validations
- Immunohistochemistry [7]
Submit
Validation data
Reference
Comment
Report error
- Product number
- NBP1-91954 - Provider product page

- Provider
- Novus Biologicals
- Proper citation
- Novus Cat#NBP1-91954, RRID:AB_11047798
- Product name
- Rabbit Polyclonal GOLPH4 Antibody
- Antibody type
- Polyclonal
- Description
- Immunogen affinity purified. Specificity of human GOLPH4 antibody verified on a Protein Array containing target protein plus 383 other non-specific proteins.
- Reactivity
- Human
- Host
- Rabbit
- Isotype
- IgG
- Vial size
- 0.1 ml
- Storage
- Store at 4C short term. Aliquot and store at -20C long term. Avoid freeze-thaw cycles.
Submitted references Systematic validation of antibody binding and protein subcellular localization using siRNA and confocal microscopy.
Stadler C, Hjelmare M, Neumann B, Jonasson K, Pepperkok R, Uhlén M, Lundberg E
Journal of proteomics 2012 Apr 3;75(7):2236-51
Journal of proteomics 2012 Apr 3;75(7):2236-51
No comments: Submit comment
Supportive validation
- Submitted by
- Novus Biologicals (provider)
- Main image

- Experimental details
- Immunohistochemistry-Paraffin: GOLPH4 Antibody [NBP1-91954] - Staining of human duodenum shows strong cytoplasmic positivity in glandular cells.
- Submitted by
- Novus Biologicals (provider)
- Main image

- Experimental details
- Immunohistochemistry-Paraffin: GOLPH4 Antibody [NBP1-91954] - Staining of human skin shows low expression as expected.
- Submitted by
- Novus Biologicals (provider)
- Main image

- Experimental details
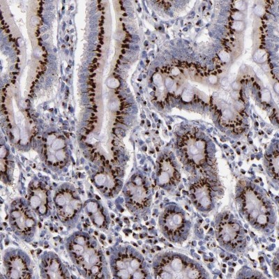
- Immunohistochemistry-Paraffin: GOLPH4 Antibody [NBP1-91954] - Staining of human small intestine shows high expression.
- Submitted by
- Novus Biologicals (provider)
- Main image

- Experimental details
- Immunohistochemistry-Paraffin: GOLPH4 Antibody [NBP1-91954] - Staining in human small intestine and skin tissues using anti-GOLIM4 antibody. Corresponding GOLIM4 RNA-seq data are presented for the same tissues.
- Submitted by
- Novus Biologicals (provider)
- Main image

- Experimental details
- Immunohistochemistry-Paraffin: GOLPH4 Antibody [NBP1-91954] - Staining of human cerebral cortex, liver, skin and small intestine using Anti-GOLIM4 antibody NBP1-91954 (A) shows similar protein distribution across tissues to independent antibody NBP1-91955 (B).
- Submitted by
- Novus Biologicals (provider)
- Main image

- Experimental details
- Immunohistochemistry-Paraffin: GOLPH4 Antibody [NBP1-91954] - Staining of human cerebral cortex.
- Submitted by
- Novus Biologicals (provider)
- Main image

- Experimental details
- Immunohistochemistry-Paraffin: GOLPH4 Antibody [NBP1-91954] - Staining of human liver.