Antibody data
- Antibody Data
- Antigen structure
- References [2]
- Comments [0]
- Validations
- Western blot [1]
- Immunohistochemistry [1]
Submit
Validation data
Reference
Comment
Report error
- Product number
- NB100-81657 - Provider product page

- Provider
- Novus Biologicals
- Proper citation
- Novus Cat#NB100-81657, RRID:AB_1146161
- Product name
- Rabbit Polyclonal MBD2 Antibody
- Antibody type
- Polyclonal
- Description
- Immunogen affinity purified.
- Reactivity
- Human, Mouse
- Host
- Rabbit
- Isotype
- IgG
- Vial size
- 0.1 ml
- Concentration
- 0.2 mg/ml
- Storage
- Store at 4C. Do not freeze.
Submitted references lncRNA PAPAS tethered to the rDNA enhancer recruits hypophosphorylated CHD4/NuRD to repress rRNA synthesis at elevated temperatures.
Specificity in circadian clock feedback from targeted reconstitution of the NuRD corepressor.
Zhao Z, Sentürk N, Song C, Grummt I
Genes & development 2018 Jun 1;32(11-12):836-848
Genes & development 2018 Jun 1;32(11-12):836-848
Specificity in circadian clock feedback from targeted reconstitution of the NuRD corepressor.
Kim JY, Kwak PB, Weitz CJ
Molecular cell 2014 Dec 18;56(6):738-48
Molecular cell 2014 Dec 18;56(6):738-48
No comments: Submit comment
Supportive validation
- Submitted by
- Novus Biologicals (provider)
- Main image

- Experimental details
- Western Blot: MBD2 Antibody [NB100-81657] - Detection of Human and Mouse MBD2 on HeLa whole cell lysate using NB100-81657. MBD2 was also immunoprecipitated by rabbit anti-MBD2 antibody NB100-81656.
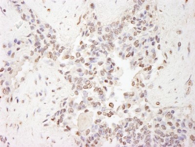
Supportive validation
- Submitted by
- Novus Biologicals (provider)
- Main image

- Experimental details
- Immunohistochemistry-Paraffin: MBD2 Antibody [NB100-81657] - Section of human prostate carcinoma. Antibody: Affinity purified rabbit anti-MBD2 used at a dilution of 1:200 (1ug/ml). Detection: DAB